Promotional price valid on web orders only. Your contract pricing may differ. Interested in signing up for a dedicated account number?
Learn More
Learn More
Invitrogen™ Ribophorin I Polyclonal Antibody

Rabbit Polyclonal Antibody
Supplier: Invitrogen™ PA565662
Description
Immunogen sequence: DVKRTVDLSSH LAKVTAEVVL AHLGGGSTSR ATSFLLALEP ELEARLAHLG VQVKGEDEEE NNLEVRETKI KGKSGRFFTV KLPVALDPGA KISVIVETVY THVLHPYPTQ ITQSEKQFVV FEGNHYFYSP YPTKTQ Highest antigen sequence identity to the following orthologs - mouse 93%, rat 93%.
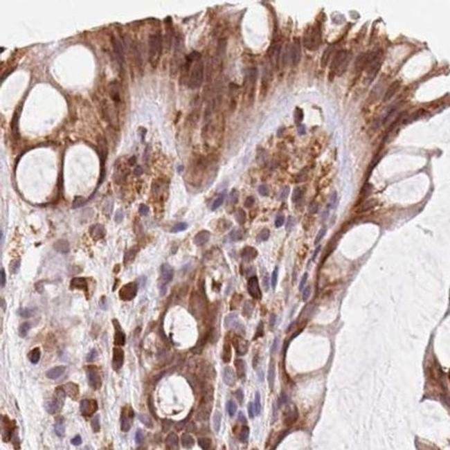
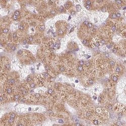
Ribophorins 1 and 2 are abundant and highly conserved glycoproteins residing in the endoplasic reticulum, that participate in ribosome binding. Mammalian oligosaccharyltransferase activity is associated with a protein complex composed of RPN1, RPN2, and an oligosaccharyltransferase protein. RPN1 is a component of the proteasome base. The ubiquitin-like (UBL) domain of recombinant Rad23 interacts with proteasomes through the leucine-rich repeat domain of RPN1. The RPN1 gene maps to chromosome 3 in somatic cell hybrids, and the RPN2 gene maps to chromosome 20 by in situ hybridization.
Specifications
Ribophorin I | |
Polyclonal | |
Unconjugated | |
RPN1 | |
AU018702; D6Wsu137e; Dolichyl-diphosphooligosaccharide--protein; dolichyl-diphosphooligosaccharide-protein glycosyltransferase 67 kDa subunit; dolichyl-diphosphooligosaccharide--protein glycosyltransferase 67 kDa subunit; Dolichyl-diphosphooligosaccharide--protein glycosyltransferase subunit 1; oligosaccharyltransfe; oligosaccharyltransferase 1 homolog; oligosaccharyltransferase complex subunit (non-catalytic); OST1; QccE-21639; QtsA-18349; RBPH1; RIBI; ribophorin I; Ribophorin-1; RPN1; Rpn-1; RPN-I; unnamed protein product | |
Rabbit | |
Antigen Affinity Chromatography | |
RUO | |
6184 | |
Store at 4°C short term. For long term storage, store at -20°C, avoiding freeze/thaw cycles. | |
Liquid |
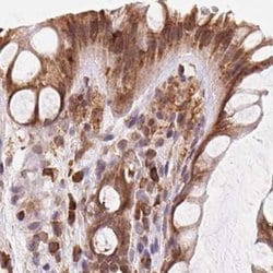
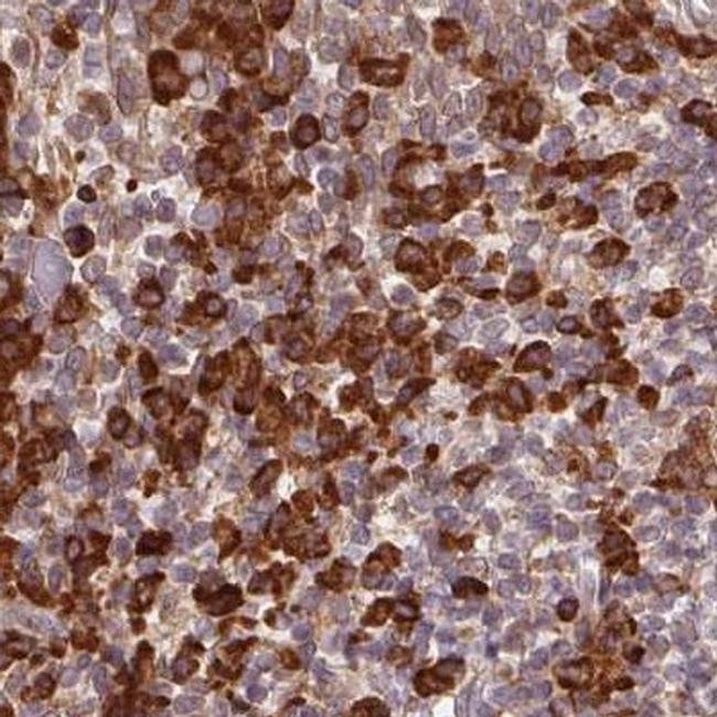
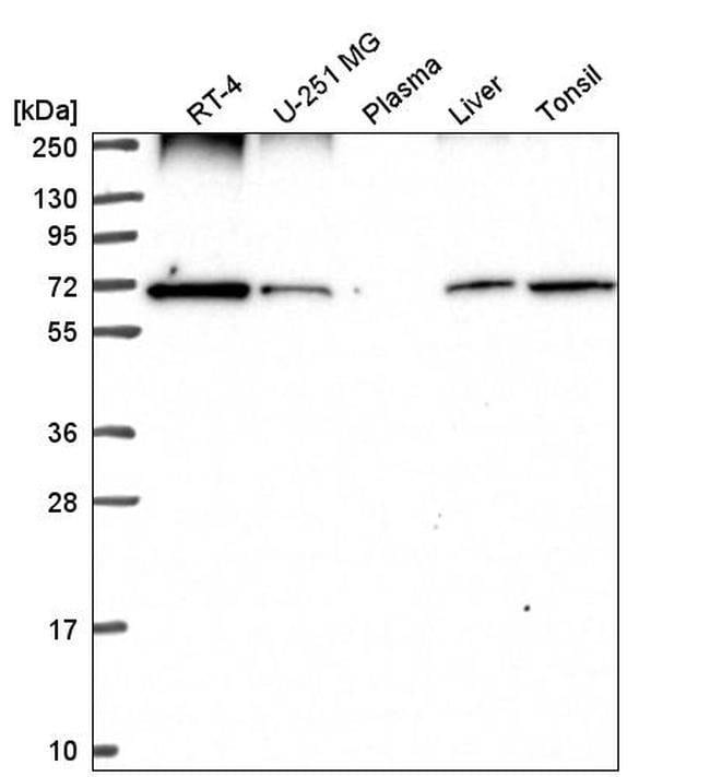
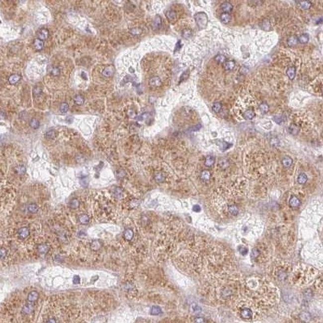
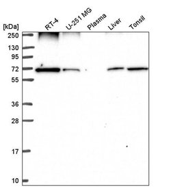
Immunohistochemistry (Paraffin), Western Blot, Immunocytochemistry | |
0.05 mg/mL | |
PBS with 40% glycerol and 0.02% sodium azide; pH 7.2 | |
P04843 | |
RPN1 | |
Recombinant Human RPN1. Recombinant protein control fragment (Product #RP-104924). | |
100 μL | |
Primary | |
Human | |
Antibody | |
IgG |
Safety and Handling
WARNING: Cancer - www.P65Warnings.ca.gov
Product Content Correction
Your input is important to us. Please complete this form to provide feedback related to the content on this product.
Product Title
Spot an opportunity for improvement?Share a Content Correction