Promotional price valid on web orders only. Your contract pricing may differ. Interested in signing up for a dedicated account number?
Learn More
Learn More
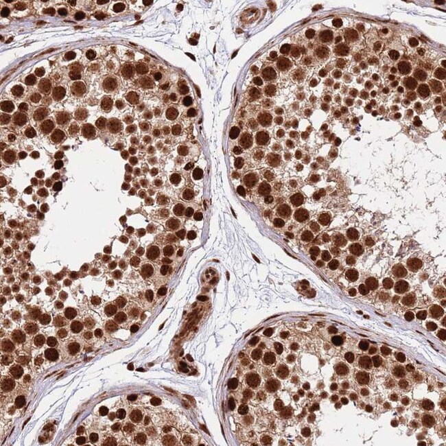
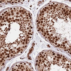
Invitrogen™ RIF1 Polyclonal Antibody

Rabbit Polyclonal Antibody
Supplier: Invitrogen™ PA557858
Description
Immunogen sequence: FLPKAKQREG TFSKSDSEKI VNGTKRSSRR AGKAEQTGNK RSKPLMRSEP EKNTEESVEG IVVLENNPPG LLNQTECVSD NQVHLSESTM EHD Highest antigen sequence identity to the following orthologs: Mouse - 49%, Rat - 52%.
May have a role in sperm development and fertilization.
Specifications
RIF1 | |
Polyclonal | |
Unconjugated | |
RIF1 | |
5730435J01Rik; 6530403D07Rik; AU016181; AW549474; D2Ertd145e; DKFZp434D1026; DKFZp781N1478; FLJ12870; mRif1; Rap1 interacting factor 1 homolog (yeast); RAP1 interacting factor homolog; rap1-interacting factor 1 homolog; replication timing regulatory factor 1; Rif1; Telomere-associated protein RIF1 | |
Rabbit | |
Antigen affinity chromatography | |
RUO | |
55183 | |
Store at 4°C short term. For long term storage, store at -20°C, avoiding freeze/thaw cycles. | |
Liquid |
Immunohistochemistry (Paraffin), Western Blot | |
0.3 mg/mL | |
PBS with 40% glycerol and 0.02% sodium azide; pH 7.2 | |
Q5UIP0 | |
RIF1 | |
Recombinant protein corresponding to Human RIF1. Recombinant protein control fragment (Product #RP-95990). | |
100 μL | |
Primary | |
Human | |
Antibody | |
IgG |
Product Content Correction
Your input is important to us. Please complete this form to provide feedback related to the content on this product.
Product Title
Spot an opportunity for improvement?Share a Content Correction