Promotional price valid on web orders only. Your contract pricing may differ. Interested in signing up for a dedicated account number?
Learn More
Learn More
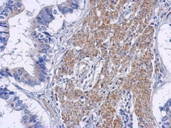
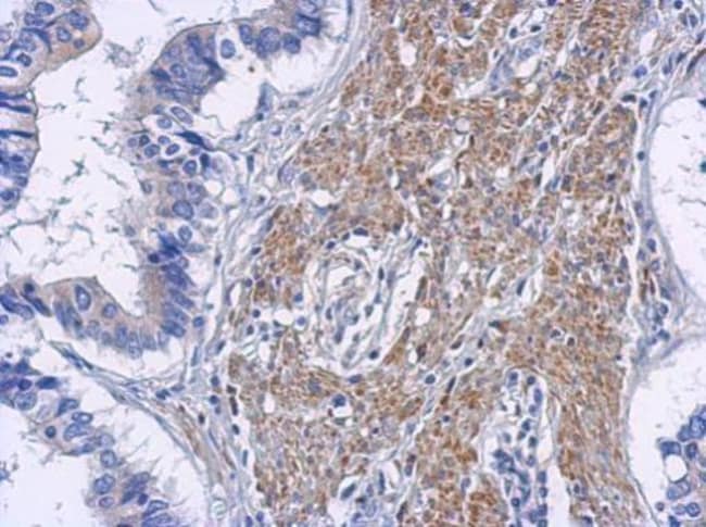
Invitrogen™ RIP2 Polyclonal Antibody

Rabbit Polyclonal Antibody
Supplier: Invitrogen™ PA529626
Description
Recommended positive controls: NIH-3T3. Predicted reactivity: Mouse (95%), Rat (95%), Chicken (80%), Bovine (94%). Store product as a concentrated solution. Centrifuge briefly prior to opening the vial.
RIPK2 is a serine/threonine kinase that is involved in cell activation, proliferation, differentiation, and apoptosis. Upon stimulation by bacterial peptidoglycans, NOD1 and NOD2 are activated, oligomerize and recruit RIPK2 through CARD-CARD domains. Contributes to the tyrosine phosphorylation of the guanine exchange factor ARHGEF2 through Src tyrosine kinase leading to NF-kappaB activation by NOD2. Once recruited, RIPK2 autophosphorylates and undergoes 'Lys-63'-linked polyubiquitination by E3 ubiquitin ligases XIAP, BIRC2 and BIRC3. The polyubiquitinated protein mediates the recruitment of MAP3K7/TAK1 to IKBKG/NEMO and induces 'Lys-63'-linked polyubiquitination of IKBKG/NEMO and subsequent activation of IKBKB/IKKB. In turn, NF-kappa-B is released from NF-kappa-B inhibitors and translocates into the nucleus where it activates the transcription of hundreds of genes involved in immune response, growth control, or protection against apoptosis. Plays also a role during engagement of the T-cell receptor (TCR) in promoting BCL10 phosphorylation and subsequent NF-kappa-B activation.
Specifications
| RIP2 | |
| Polyclonal | |
| Unconjugated | |
| RIPK2 | |
| 2210420D18Rik; CARD3; CARD-carrying kinase; CARD-containing IL-1 beta ICE-kinase; CARD-containing interleukin-1 beta-converting enzyme (ICE)-associated kinase; CARD-containing interleukin-1 beta-converting enzyme-associated kinase; CARDIAK; CCK; D4Bwg0615e; EC 2.7.11.1; GIG30; growth-in; growth-inhibiting gene 30; kinase RIPK2; receptor (TNFRSF)-interacting serine-threonine kinase 2; receptor interacting serine/threonine kinase 2; receptor-interacting protein (RIP)-like interacting caspase-like apoptosis regulatory protein (CLARP) kinase; receptor-interacting protein 2; receptor-interacting serine/threonine-protein kinase 2; receptor-interacting serine-threonine kinase 2; RICK; RIP 2; RIP2; RIP-2; Ripk2; RIP-like; RIP-like-interacting CLARP kinase; Tyrosine-protein kinase RIPK2; UNQ277/PRO314/PRO34092; WUGSC:H_RG437L15.1 | |
| Rabbit | |
| Antigen affinity chromatography | |
| RUO | |
| 192656, 8767 | |
| Store at 4°C short term. For long term storage, store at -20°C, avoiding freeze/thaw cycles. | |
| Liquid |
| Immunohistochemistry (Paraffin), Western Blot | |
| 0.88 mg/mL | |
| PBS with 20% glycerol and 0.01% thimerosal; pH 7 | |
| O43353, P58801 | |
| RIPK2 | |
| Recombinant protein encompassing a sequence within the center region of human RIP2. The exact sequence is proprietary. | |
| 100 μL | |
| Primary | |
| Human, Mouse | |
| Antibody | |
| IgG |
Safety and Handling
WARNING: Cancer - www.P65Warnings.ca.gov
Product Content Correction
Your input is important to us. Please complete this form to provide feedback related to the content on this product.
Product Title
Spot an opportunity for improvement?Share a Content Correction