Promotional price valid on web orders only. Your contract pricing may differ. Interested in signing up for a dedicated account number?
Learn More
Learn More
Invitrogen™ RIP3 Polyclonal Antibody

Rabbit Polyclonal Antibody
Supplier: Invitrogen™ PA514955
Description
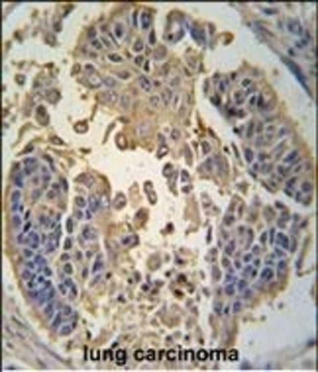
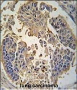
RIP3 Polyclonal Antibody for Western Blot, IHC (P)
RIPK3 is a member of the receptor-interacting protein (RIP) family of serine/threonine protein kinases, which contains a C-terminal domain unique from other RIP family members. RIPK3 is predominantly localized to the cytoplasm, and specifically, are colocalized in the mitochondrion which can undergo nucleocytoplasmic shuttling dependent on novel nuclear localization and export signals. RIPK3 is a component of the tumor necrosis factor (TNF) receptor-I signaling complex, and can induce apoptosis and weakly activate the NF-kappaB transcription factor and caspase-8 prevents RIPK3-dependent necrosis without inducing apoptosis by functioning in a proteolytically active complex with CFLAR and that this complex is required for the protective function.
Specifications
| RIP3 | |
| Polyclonal | |
| Unconjugated | |
| RIPK3 | |
| 2610528K09Rik; AW107945; Hcyp2; Homocysteine respondent protein HCYP2; mRIP3; receptor interacting protein 3; receptor interacting serine/threonine kinase 3; receptor-interacting protein 3; receptor-interacting serine/threonine-protein kinase 3; receptor-interacting serine-threonine kinase 3; Rip3; RIP-3; Ripk3; RIP-like protein kinase 3 | |
| Rabbit | |
| Ammonium sulfate precipitation, Size-exclusion - Dialysis | |
| RUO | |
| 11035, 56532 | |
| Store at 4°C short term. For long term storage, store at -20°C, avoiding freeze/thaw cycles. | |
| Liquid |
| Immunohistochemistry (Paraffin), Western Blot | |
| 2 mg/mL | |
| PBS with 0.09% sodium azide; pH 7.4 | |
| Q9QZL0, Q9Y572 | |
| RIPK3 | |
| KLH conjugated synthetic peptide between 489-518 amino acids from the C-terminal region of human RIPK3. | |
| 400 μL | |
| Primary | |
| Human, Mouse | |
| Antibody | |
| IgG |
Product Content Correction
Your input is important to us. Please complete this form to provide feedback related to the content on this product.
Product Title
Spot an opportunity for improvement?Share a Content Correction