Learn More
Invitrogen™ RMDN3 Polyclonal Antibody

Rabbit Polyclonal Antibody
Supplier: Invitrogen™ PA5117028
Description
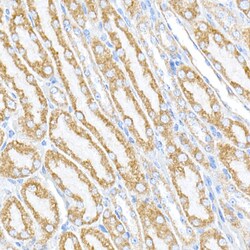
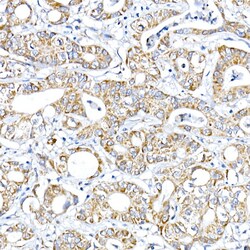
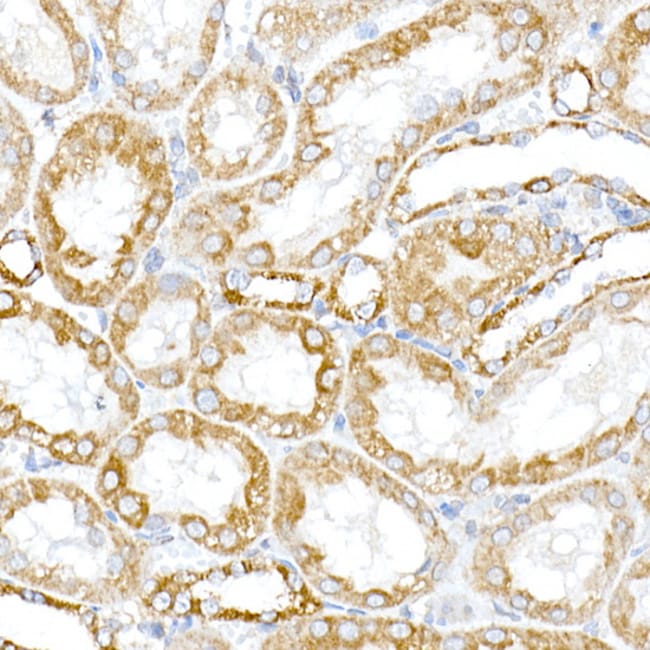
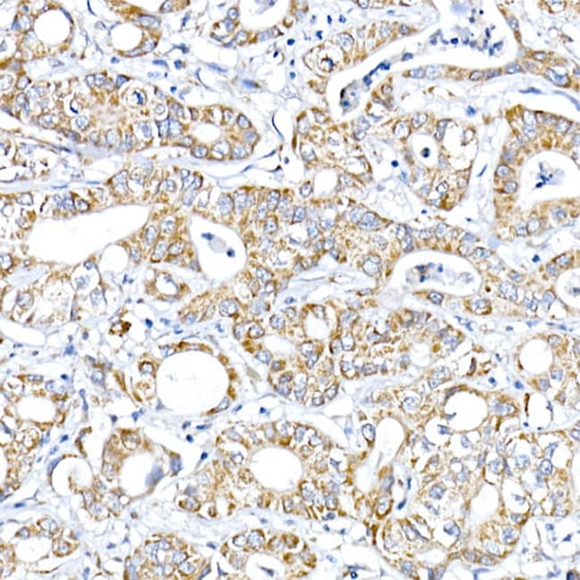
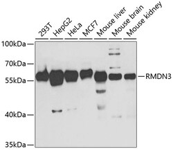
Positive Samples: 293T, HepG2, HeLa, MCF7, Mouse liver, Mouse brain, Mouse kidney Immunogen sequence: ESEGGYTTAN AESDNERDSD KESEDGEDEV SCETVKMGRK DSLDLEEEAA SGASSALEAG GSSGLEDVLP LLQQADELHR GDEQGKREGF QLLLNNKLVY GSRQDFLWRL ARAYSDMCEL TEEVSEKKSY ALDGKEEAEA ALEKGDESAD CHLWYAVLCG QLAEHESIQR RIQSGFSFKE HVDKAIALQP ENPMAHFLLG RWCYQVSHLS WLEKKTATAL LESPLSATVE DALQSFLKAE ELQPGFSKAG RVYISKCYRE LGKNSEARWW MKLALELPDV TKEDLAIQKD LEELEVILRD.
RMDN3 is a protein coding gene involved in cellular calcium homeostasis regulation. May participate in differentiation and apoptosis of keratinocytes. Overexpression induces apoptosis.
Specifications
| RMDN3 | |
| Polyclonal | |
| Unconjugated | |
| RMDN3 | |
| 1200015F23Rik; AI131757; Cerebral protein 10; FAM82A2; Fam82c; family with sequence similarity 82, member A2; family with sequence similarity 82, member C; FLJ10579; hRMD-3; hucep-10; microtubule-associated protein; Protein FAM82A2; Protein FAM82C; Protein tyrosine phosphatase-interacting protein 51; Ptpip51; regulator of microtubule dynamics 3; regulator of microtubule dynamics protein 3; RGD1308697; Rmd3; RMD-3; Rmdn3; TCPTP-interacting protein 51; tyrosine phosphatase interacting protein 51; UNQ3122/PRO10274 | |
| Rabbit | |
| Affinity chromatography | |
| RUO | |
| 311328, 55177, 67809 | |
| -20°C, Avoid Freeze/Thaw Cycles | |
| Liquid |
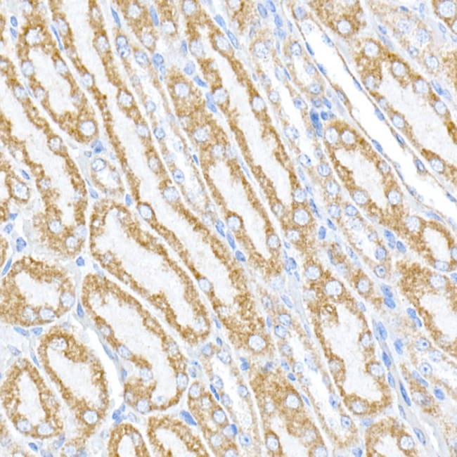
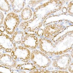
| ELISA, Immunohistochemistry (Paraffin), Western Blot, Immunocytochemistry | |
| 0.471 mg/mL | |
| PBS with 50% glycerol and 0.05% ProClin 300; pH 7.3 | |
| Q3UJU9, Q66H15, Q96TC7 | |
| RMDN3 | |
| Recombinant protein (or fragment). | |
| 100 μL | |
| Primary | |
| Human, Mouse, Rat | |
| Antibody | |
| IgG |
Your input is important to us. Please complete this form to provide feedback related to the content on this product.