Learn More
Invitrogen™ RNASE2 Monoclonal Antibody (C9), Invitrogen™

Description
Specifications
Specifications
| Antigen | RNASE2 |
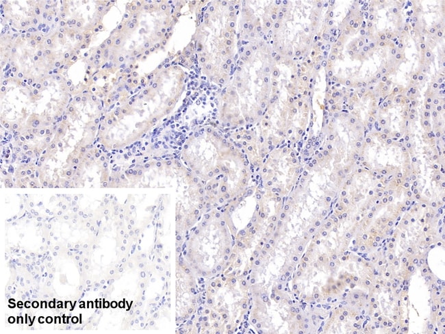
| Applications | Immunohistochemistry (Paraffin), Western Blot, Western Blot |
| Classification | Monoclonal |
| Clone | C9 |
| Concentration | 1 mg/mL |
| Conjugate | Unconjugated |
| Formulation | PBS with 50% glycerol and 0.05% Proclin 300; pH 7.4 |
| Gene | RNASE2 |
| Gene Accession No. | P10153 |
| Gene Alias | EDN; eosinophil-derived neurotoxin; Non-secretory ribonuclease; RAF3; Ribonuclease 2; ribonuclease A F3; ribonuclease A family member 2; ribonuclease US; ribonuclease, RNase A family, 2 (liver, eosinophil-derived neurotoxin); RNase 2; RNase UpI-2; RNASE2; RNS2 |
| Show More |
By clicking Submit, you acknowledge that you may be contacted by Fisher Scientific in regards to the feedback you have provided in this form. We will not share your information for any other purposes. All contact information provided shall also be maintained in accordance with our Privacy Policy.