Promotional price valid on web orders only. Your contract pricing may differ. Interested in signing up for a dedicated account number?
Learn More
Learn More
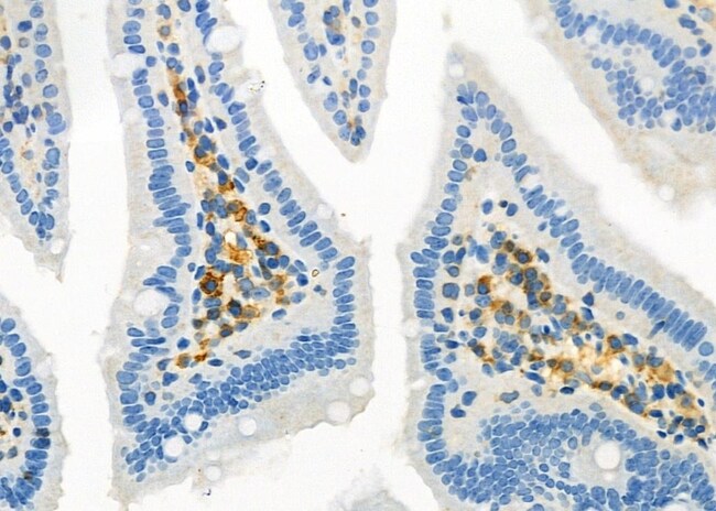
Invitrogen™ RNF130 Polyclonal Antibody

Rabbit Polyclonal Antibody
Supplier: Invitrogen™ PA5106779
Description
Antibody detects endogenous levels of total RNF130.
The protein encoded by this gene contains a RING finger motif and is similar to g1, a Drosophila zinc-finger protein that is expressed in mesoderm and involved in embryonic development. The expression of the mouse counterpart was found to be upregulated in myeloblastic cells following IL3 deprivation, suggesting that this gene may regulate growth factor withdrawal-induced apoptosis of myeloid precursor cells. Alternative splicing results in multiple transcript variants. [provided by RefSeq, Jul 2013].
Specifications
RNF130 | |
Polyclonal | |
Unconjugated | |
RNF130 | |
2510042A13Rik; E3 ubiquitin-protein ligase RNF130; g1-related zinc finger protein; G1rp; G1RZFP; GOLIATH; Goliath homolog; GP; H-Goliath; R-goliath; ring finger protein 130; RING-type E3 ubiquitin transferase RNF130; RNF130; rnf130 {ECO:0000250; UniProtKB:Q86XS8} | |
Rabbit | |
Affinity chromatography | |
RUO | |
55819, 59044, 652955 | |
-20°C | |
Liquid |
Immunohistochemistry (Paraffin), Western Blot, Immunocytochemistry | |
1 mg/mL | |
PBS with 50% glycerol and 0.02% sodium azide; pH 7.4 | |
Q6Y290, Q86XS8, Q8VEM1 | |
RNF130 | |
A synthesized peptide derived from human RNF130(Accession Q86XS8), corresponding to amino acid residues R232-C282. | |
100 μL | |
Primary | |
Human, Mouse, Rat | |
Antibody | |
IgG |
Product Content Correction
Your input is important to us. Please complete this form to provide feedback related to the content on this product.
Product Title
Spot an opportunity for improvement?Share a Content Correction