Promotional price valid on web orders only. Your contract pricing may differ. Interested in signing up for a dedicated account number?
Learn More

RNF20 Rabbit anti-Human, Mouse, Polyclonal, Bethyl Laboratories

Rabbit Polyclonal Antibody

Supplier:  Bethyl Laboratories, Inc A300715A

Encompass_Preferred

Catalog No. 50-155-8286


May include imposed supplier surcharges.
Only null left
Add to Cart

Description

Description

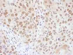
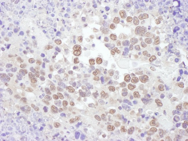
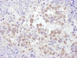
The recommended shelf life for this product is 1 year from date of receipt. Application Note: For IHC, epitope retrieval with citrate buffer pH 6.0 is recommended for FFPE tissue sections. Based on 100% sequence identity, this antibody is predicted to react with Chicken and Bovine

RNF20 is an E3 ubiquitin ligase that regulates chromosome structure by monoubiquitinating histone H2B. RNF20 selectively suppresses the expression of some genes such as several protooncogenes and growth-related genes, including many genes that are induced by epidermal growth factor by interfering with chromatin recruitment of transcription elongation factor SII (TFIIS). In contrast, RNF20 also positively regulates the p53 tumor suppressor as well as numerous histone H2A and H2B genes. Together with the deubiquitinase USP44, RNF20 regulates stem cell differentiation by modulating H2B monoubiquitination.
Specifications

Specifications

RNF20
Polyclonal
Unconjugated
RNF20
BRE1, BRE1A, FLJ11189, FLJ20382, KIAA2779, MGC129667, MGC129668, hBRE1, BRE1 E3 ubiquitin ligase homolog; BRE1-A; E3 ubiquitin-protein ligase BRE1A; homolog of S. cerevisiae BRE1
Rabbit
Antigen affinity chromatography
RUO
109331, 56254
4° C
Liquid
Immunohistochemistry, Immunoprecipitation, Western Blot
1 mg/ml
phosphate, tris citrate with 0.09% sodium azide; pH 7-8
Q5DTM8, Q5VTR2
RNF20
Between 125 and 175
100 μL
Primary
Human, Mouse
Antibody
IgG
Product Suggestions

Product Suggestions

Videos
SDS
Documents

Documents

Product Certifications
Promotions

Promotions

Product Content Correction

The Fisher Scientific Encompass Program offers items which are not part of our distribution portfolio. These products typically do not have pictures or detailed descriptions. However, we are committed to improving your shopping experience. Please use the form below to provide feedback related to the content on this product.

Product Title

By clicking Submit, you acknowledge that you may be contacted by Fisher Scientific in regards to the feedback you have provided in this form. We will not share your information for any other purposes. All contact information provided shall also be maintained in accordance with our Privacy Policy.

Your feedback has been submitted: Thank you for helping us improve our website.