Promotional price valid on web orders only. Your contract pricing may differ. Interested in signing up for a dedicated account number?
Learn More
Learn More
RNF8 Rabbit anti-Human, Mouse, Rat, Polyclonal, Proteintech

Rabbit Polyclonal Antibody
Supplier: Proteintech Group Inc 141121AP150UL
Description
The protein encoded by this gene contains a RING finger motif and a FHA domain. This protein has been shown to interact with several class II ubiquitin-conjugating enzymes (E2), including UBE2E1/UBCH6, UBE2E2, and UBE2E3, and may act as an ubiquitin ligase (E3) in the ubiquitination of certain nuclear proteins. Alternatively spliced transcript variants encoding distinct isoforms have been reported.Specifications
| RNF8 | |
| Polyclonal | |
| Unconjugated | |
| RNF8 | |
| KIAA0646, ring finger protein 8, RNF8 | |
| Rabbit | |
| Antigen Affinity Chromatography | |
| RUO | |
| 361815, 58230, 9025 | |
| -20°C | |
| Liquid |
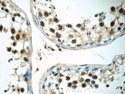
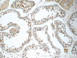
| Immunocytochemistry, Immunofluorescence, Immunohistochemistry (Paraffin), Immunoprecipitation, Western Blot | |
| 0.22 mg/mL | |
| PBS with 50% glycerol and 0.1% sodium azide; pH 7.3 | |
| O76064, Q4KLN8, Q8VC56 | |
| Rnf8 | |
| RNF8 Fusion Protein Ag5292 | |
| 150 μL | |
| Primary | |
| Human, Mouse, Rat | |
| Antibody | |
| IgG |
Product Content Correction
The Fisher Scientific Encompass Program offers items which are not part of our distribution portfolio. These products typically do not have pictures or detailed descriptions. However, we are committed to improving your shopping experience. Please use the form below to provide feedback related to the content on this product.
Product Title
Spot an opportunity for improvement?Share a Content Correction