Learn More
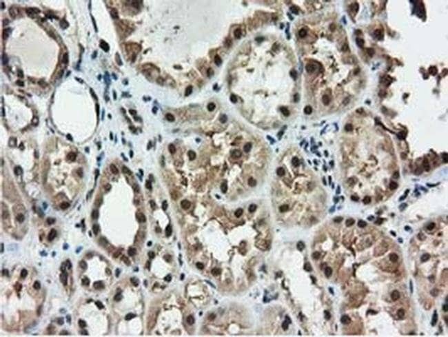
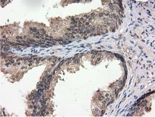
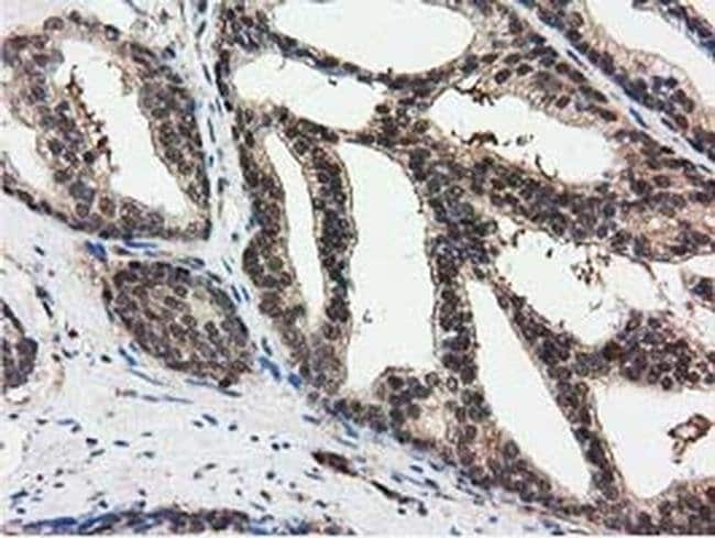
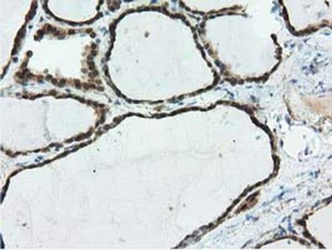
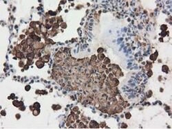
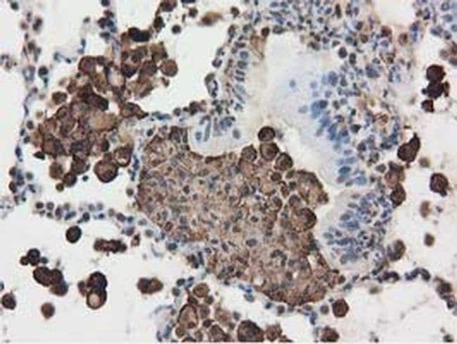
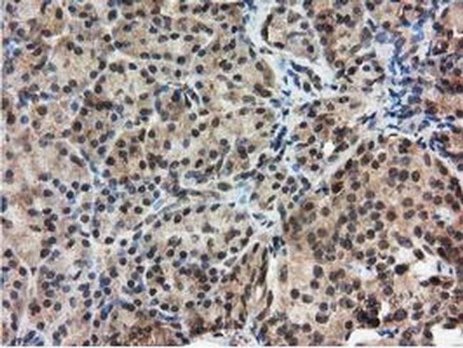
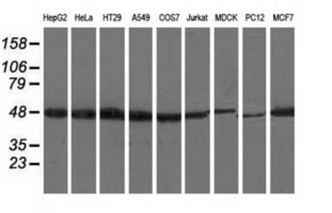
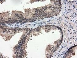
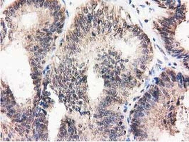
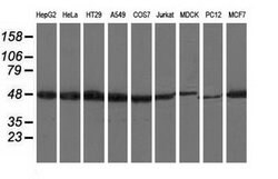
Invitrogen™ RNH1 Monoclonal Antibody (OTI3F11)

Description
RNH1 Monoclonal Antibody for Western Blot, IHC (P), Flow
Specifications
Specifications
| Antigen | RNH1 |
| Applications | Flow Cytometry, Immunohistochemistry (Paraffin), Western Blot |
| Classification | Monoclonal |
| Clone | OTI3F11 |
| Concentration | 1 mg/mL |
| Conjugate | Unconjugated |
| Formulation | PBS with 1% BSA, 50% glycerol and 0.02% sodium azide; pH 7.3 |
| Gene | RNH1 |
| Gene Accession No. | P13489, P29315 |
| Gene Alias | AW546468; C80305; EGK_05816; hypothetical protein LOC517087; im:7039360; LOC720791; Placental ribonuclease inhibitor; placental RNase inhibitor; PRI; RAI; Ribonuclease inhibitor; ribonuclease/angiogenin inhibitor 1; RNasIN; RNH; Rnh1; si:ch211-213a13.3; testicular tissue protein Li 164; uncharacterized protein rnh1; wu:fd55g05 |
| Show More |
By clicking Submit, you acknowledge that you may be contacted by Fisher Scientific in regards to the feedback you have provided in this form. We will not share your information for any other purposes. All contact information provided shall also be maintained in accordance with our Privacy Policy.