Promotional price valid on web orders only. Your contract pricing may differ. Interested in signing up for a dedicated account number?
Learn More
Learn More
Invitrogen™ ROR1 Polyclonal Antibody

Rabbit Polyclonal Antibody
Supplier: Invitrogen™ PA514726
Description
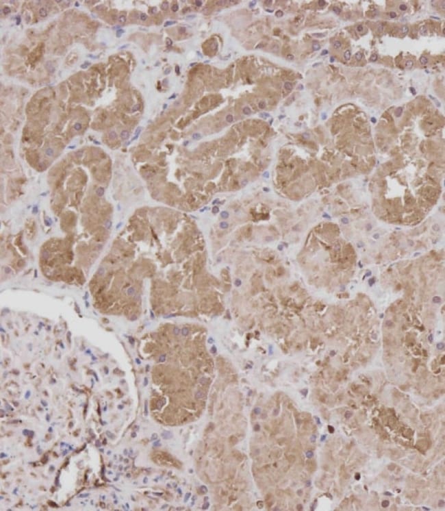
ROR1 Polyclonal Antibody for Western Blot, IHC (P), Flow
Receptor-tyrosine-kinase-like orphan receptor 1 (ROR1) is a tumor-associated, surface protein predominantly expressed during embryogenesis, where it is involved in organ morphogenesis, nervous system development, and neural progenitor cell maintenance and survival. Virtually absent from normal pediatric and adult tissues, with the exception of low-level expression in a subset of immature b cell precursors known as hematogones and adipocytes, ROR1 is notably overexpressed, and considered a survival factor, in a number of B lymphoid and epithelial malignancies: including chronic lymphocytic leukemia (CLL), mantle cell lymphoma (MCL), acute lymphoblastic leukemia (ALL), marginal zone lymphoma, lung adenocarcinoma. First identified during PCR-based cloning of a human neuroblastoma cell line in search of tyrosine kinases similar to tropomyosin-receptor-kinase (Trk) neurotropic receptors, ROR1, along with the related receptor tyrosine kinase (RTK) ROR2, was catalogued as an 'orphan' receptor due to the fact its related ligand remained elusive. Wnt-5a has since been suggested as a candidate ligand for ROR1, and ROR1 has been implicated to function as a pseudokinase, promoting proliferation and resistance to apoptosis in cancer cells through interaction with Wnt-5a, and TCL1-co-activation of AKT. ROR1 is expressed as a glycoprotein containing extracellular immunoglobulin (Ig)-like, Frizzled, and Kringle domains, as well as an intracellular region containing a tyrosine kinase domain.
Specifications
ROR1 | |
Polyclonal | |
Unconjugated | |
ROR1 | |
2810404D04Rik; dJ537F10.1; Inactive tyrosine-protein kinase transmembrane receptor ROR1; MGC99659; mRor1; neurotrophic tyrosine kinase, receptor related 1; neurotrophic tyrosine kinase, receptor-related 1; Ntrkr1; receptor tyrosine kinase like orphan receptor 1; receptor tyrosine kinase-like orphan receptor 1; RGD1559469; ROR1; T-ROR1; tyrosine-protein kinase transmembrane receptor ROR1 | |
Rabbit | |
Antigen affinity chromatography, Protein A | |
RUO | |
26563, 4919 | |
Store at 4°C short term. For long term storage, store at -20°C, avoiding freeze/thaw cycles. | |
Liquid |
Flow Cytometry, Immunohistochemistry (Paraffin), Western Blot | |
0.43 mg/mL | |
PBS with 0.09% sodium azide; pH 7.4 | |
Q01973, Q9Z139 | |
ROR1 | |
Recombinant human ROR1 protein (aa region: 112 - 399). | |
200 μL | |
Primary | |
Human, Mouse | |
Antibody | |
IgG |
Product Content Correction
Your input is important to us. Please complete this form to provide feedback related to the content on this product.
Product Title
Spot an opportunity for improvement?Share a Content Correction