Promotional price valid on web orders only. Your contract pricing may differ. Interested in signing up for a dedicated account number?
Learn More
Learn More
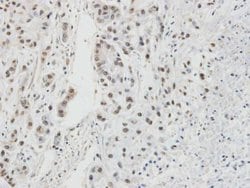
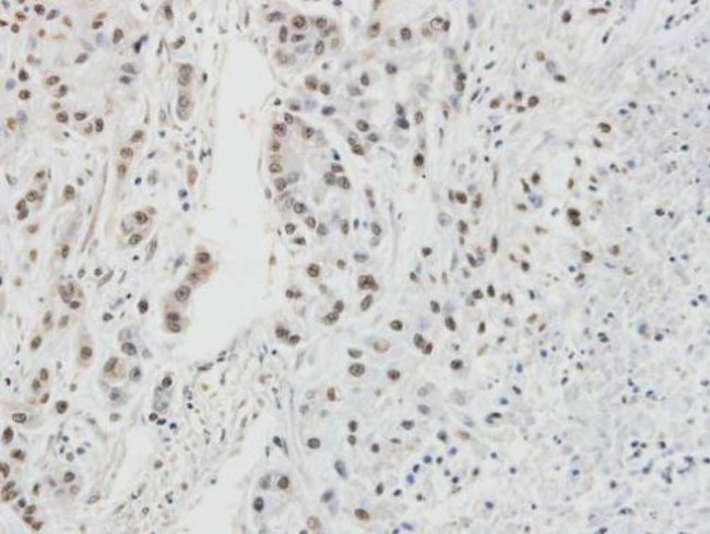
Invitrogen™ RPA2 Polyclonal Antibody

Rabbit Polyclonal Antibody
Supplier: Invitrogen™ PA527513
Description
Recommended positive controls: Molt-4. Predicted reactivity: Mouse (86%), Rat (87%), Pig (90%), Rhesus Monkey (98%), Bovine (93%). Store product as a concentrated solution. Centrifuge briefly prior to opening the vial.
Required for DNA recombination, repair and replication. The activity of RP-A is mediated by single-stranded DNA binding and protein interactions. Required for the efficient recruitment of the DNA double-strand break repair factor RAD51 to chromatin in response to DNA damage.
Specifications
RPA2 | |
Polyclonal | |
Unconjugated | |
Rpa2 | |
30-kDa protein; AA409079; AI325195; AU020965; HSSB; hypothetical protein; I79_004200; p32; p32-subunit of replication protein A; p34; REPA2; Replication factor A protein 2; replication protein A 32 kDa subunit; Replication protein A 32kDa subunit; Replication protein A 34 kDa subunit; Replication protein A 34kDa subunit; replication protein A2; replication protein A2, 32kDa; replication protein A4; RFA; RF-A protein 2; Rf-A2; RP21C; RP4-547C9.3; RP-A p32; RP-A p34; RPA2; RPA32; RPA34; RPA4; RpLP1; RpP2 | |
Rabbit | |
Protein A | |
RUO | |
419566, 6118 | |
Store at 4°C short term. For long term storage, store at -20°C, avoiding freeze/thaw cycles. | |
Liquid |
Immunohistochemistry (Paraffin), Western Blot, Immunocytochemistry | |
2 mg/mL | |
PBS with 40% glycerol and 0.01% thimerosal; pH 7 | |
P15927 | |
Rpa2 | |
Recombinant protein encompassing a sequence within the center region of human RPA32. The exact sequence is proprietary. | |
100 μL | |
Primary | |
Chicken, Human | |
Antibody | |
IgG |
Safety and Handling
WARNING: Cancer - www.P65Warnings.ca.gov
Product Content Correction
Your input is important to us. Please complete this form to provide feedback related to the content on this product.
Product Title
Spot an opportunity for improvement?Share a Content Correction