Promotional price valid on web orders only. Your contract pricing may differ. Interested in signing up for a dedicated account number?
Learn More
Learn More
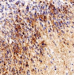
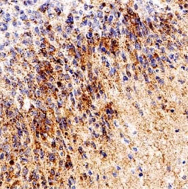
RPE65 Antibody (401.8B11.3D9) - Azide and BSA Free, Novus Biologicals™

Mouse Monoclonal Antibody
Supplier: Novus Biologicals NBP280931
Description
RPE65 Monoclonal specifically detects RPE65 in Human, Mouse, Rat, Porcine, Bovine, Canine, Chicken, Primate, Xenopus samples. It is validated for Western Blot, Flow Cytometry, Immunohistochemistry, Immunocytochemistry/Immunofluorescence, Immunohistochemistry-Paraffin, Immunohistochemistry-Frozen, CyTOF-ready.Specifications
RPE65 | |
Monoclonal | |
1 mg/mL | |
Western Blot : 1:500 - 1:1000, Flow Cytometry, Immunohistochemistry : 1:250, Immunocytochemistry/Immunofluorescence : 1:10-1:500, Immunoprecipitation reported by customer review, Immunohistochemistry-Paraffin 1:250-1:500, Immunohistochemistry-Frozen : 1:250, CyTOF-ready | |
All-trans-retinyl-palmitate hydrolase, EC 3.1.1.64, EC 5.2.1.7, LCA2p63, mRPE65, RBP-binding membrane protein, rd12, Retinal pigment epithelium-specific 65 kDa protein, retinal pigment epithelium-specific protein (65kD), retinal pigment epithelium-specific protein 65kDa, retinitis pigmentosa 20 (autosomal recessive), retinoid isomerohydrolase, Retinol isomerase, RP20, sRPE65 | |
Mouse | |
Protein G purified | |
RUO | |
Primary | |
Based on immunogen sequence similarity, this antibody is predicted to react with most Birds species (89%), Zebrafish (74%) and Sea lamprey (71%). | |
Aliquot and store at -20°C or -80°C. Avoid freeze-thaw cycles. | |
IgG1 κ |
Western Blot, Flow Cytometry, Immunohistochemistry, Immunocytochemistry, Immunofluorescence, Immunohistochemistry (Paraffin), Immunohistochemistry (Frozen), CyTOF | |
401.8B11.3D9 | |
Unconjugated | |
PBS | |
RPE65 | |
This RPE65 Antibody (401.8B11.3D9) - Azide and BSA Free was developed against bovine RPE65 microsomal membrane proteins. [UniProt# Q28175] | |
0.2 mL | |
Cellular Markers, Lipid and Metabolism, Neuronal Cell Markers, Neuroscience, Sensory Systems, Signal Transduction, Vision | |
6121 | |
Human, Mouse, Rat, Pig, Bovine, Canine, Chicken, Primate, Xenopus species | |
Purified |
Product Content Correction
Your input is important to us. Please complete this form to provide feedback related to the content on this product.
Product Title
Spot an opportunity for improvement?Share a Content Correction