Promotional price valid on web orders only. Your contract pricing may differ. Interested in signing up for a dedicated account number?
Learn More
Learn More
Invitrogen™ RPL23 Polyclonal Antibody

Rabbit Polyclonal Antibody
Supplier: Invitrogen™ PA5110318
Description
Immunogen sequence: MSKRGRGGSS GAKFRISLGL PVGAVINCAD NTGAKNLYII SVKGIKGRLN RLPAAGVGDM VMATVKKGKP ELRKKVHPAV VIRQRKSYRR KDGVFLYFED NAGVIVNNKG EMKGSAITGP VAKECADLWP RIASNAGSIA.
This gene encodes a ubiquitously expressed nuclear protein which belongs to a highly conserved subfamily of WD-repeat proteins. It is present in protein complexes involved in histone acetylation and chromatin assembly. It is part of the Mi-2 complex which has been implicated in chromatin remodeling and transcriptional repression associated with histone deacetylation. This encoded protein is also part of co-repressor complexes, which is an integral component of transcriptional silencing. It is found among several cellular proteins that bind directly to retinoblastoma protein to regulate cell proliferation. This protein also seems to be involved in transcriptional repression of E2F-responsive genes. Three transcript variants encoding different isoforms have been found for this gene.
Specifications
| RPL23 | |
| Polyclonal | |
| Unconjugated | |
| RPL23 | |
| 2810009A01Rik; 60S ribosomal protein L17; 60S ribosomal protein L23; L23; Large ribosomal subunit protein uL14; MGC111167; MGC117346; MGC72008; ribosomal protein L17; ribosomal protein L23; rpL17; Rpl23 | |
| Rabbit | |
| Affinity Chromatography | |
| RUO | |
| 29282, 65019, 9349 | |
| -20°C, Avoid Freeze/Thaw Cycles | |
| Liquid |
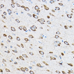
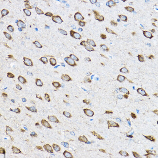
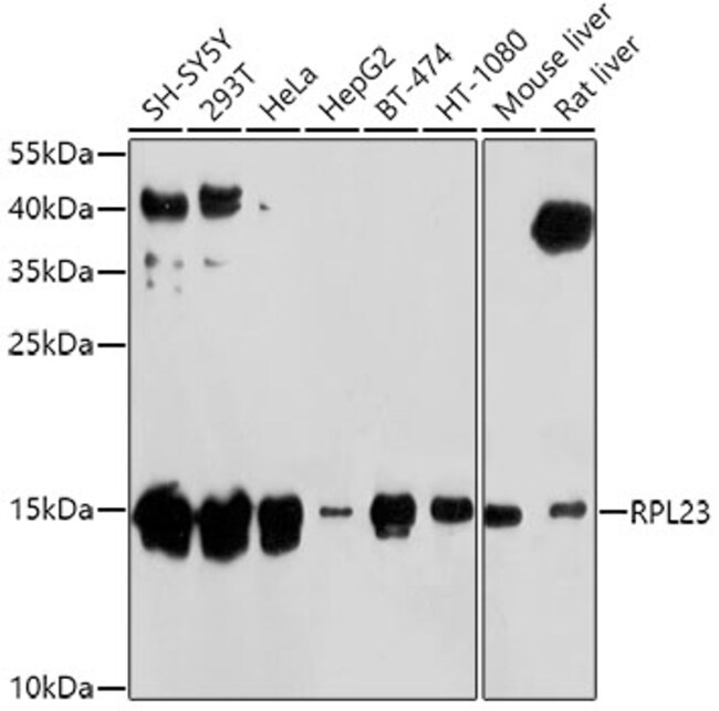
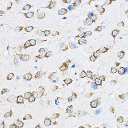
| ELISA, Immunohistochemistry (Paraffin), Western Blot, Immunocytochemistry | |
| 1.15 mg/mL | |
| PBS with 50% glycerol and 0.02% sodium azide; pH 7.3 | |
| P62829, P62830, P62832 | |
| RPL23 | |
| Recombinant fusion protein containing a sequence corresponding to amino acids 1-140 of human RPL23 (NP_000969.1). | |
| 100 μL | |
| Primary | |
| Human, Mouse, Rat | |
| Antibody | |
| IgG |
Safety and Handling
WARNING: Cancer - www.P65Warnings.ca.gov
Product Content Correction
Your input is important to us. Please complete this form to provide feedback related to the content on this product.
Product Title
Spot an opportunity for improvement?Share a Content Correction