Learn More
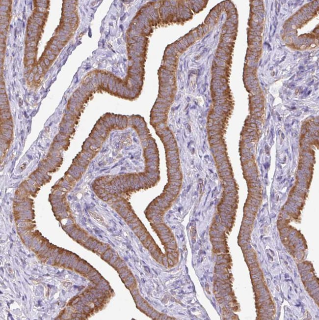
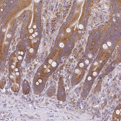
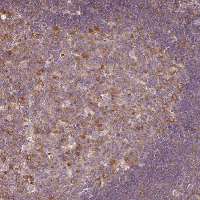
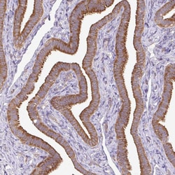
Invitrogen™ RPL28 Polyclonal Antibody

Description
Immunogen sequence: QRKPATSYVR TTINKNARAT LSSIRHMIRK NKYRPDLRMA AIRRASAILR SQKPVMVKRK RT Highest antigen sequence identity to the following orthologs: Mouse - 98%, Rat - 98%.
Specifications
Specifications
| Antigen | RPL28 |
| Applications | Immunohistochemistry (Paraffin), Western Blot, Immunocytochemistry |
| Classification | Polyclonal |
| Concentration | 0.2 mg/mL |
| Conjugate | Unconjugated |
| Formulation | PBS with 40% glycerol and 0.02% sodium azide; pH 7.2 |
| Gene | Rpl28 |
| Gene Accession No. | P46779 |
| Gene Alias | 60S ribosomal protein L28; D7Wsu21e; hypothetical protein LOC618702; L28; Large ribosomal subunit protein eL28; ribosomal protein L28; ribosomal protein L28-like; RPL28; rpl28l; zgc:66289 |
| Gene Symbols | Rpl28 |
| Show More |
Safety and Handling
By clicking Submit, you acknowledge that you may be contacted by Fisher Scientific in regards to the feedback you have provided in this form. We will not share your information for any other purposes. All contact information provided shall also be maintained in accordance with our Privacy Policy.