Promotional price valid on web orders only. Your contract pricing may differ. Interested in signing up for a dedicated account number?
Learn More
Learn More
Invitrogen™ RPL30 Polyclonal Antibody

Rabbit Polyclonal Antibody
Supplier: Invitrogen™ PA551729
Description
Immunogen sequence: INSRLQLVMK SGKYVLGYKQ TLKMIRQGKA KLVILANNCP ALRKSEIEYY AMLAKTGVHH YSGNNIELGT ACGKYYRVCT LAIIDPGDSD IIRSMPEQTG EK Highest antigen sequence identity to the following orthologs: Mouse - 100%, Rat - 100%.
Ribosomes, the organelles that catalyze protein synthesis, consist of a small 40S subunit and a large 60S subunit. Together these subunits are composed of 4 RNA species and approximately 80 structurally distinct proteins. This gene encodes a ribosomal protein that is a component of the 60S subunit. The protein belongs to the L30E family of ribosomal proteins. It is located in the cytoplasm. This gene is co-transcribed with the U72 small nucleolar RNA gene, which is located in its fourth intron. As is typical for genes encoding ribosomal proteins, there are multiple processed pseudogenes of this gene dispersed through the genome.
Specifications
RPL30 | |
Polyclonal | |
Unconjugated | |
RPL30 | |
60S ribosomal protein L30; fa93d05; hypothetical protein LOC513031; L30; Large ribosomal subunit protein eL30; ribosomal protein L30; RPL30; wu:fa93d05; zgc:56640; zgc:77683 | |
Rabbit | |
Antigen Affinity Chromatography | |
RUO | |
6156 | |
Store at 4°C short term. For long term storage, store at -20°C, avoiding freeze/thaw cycles. | |
Liquid |
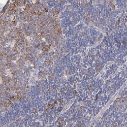
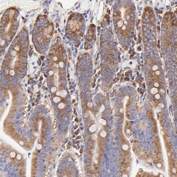
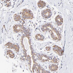
Immunohistochemistry (Paraffin), Western Blot, Immunocytochemistry | |
0.1 mg/mL | |
PBS with 40% glycerol and 0.02% sodium azide; pH 7.2 | |
P62888 | |
RPL30 | |
Recombinant protein corresponding to Human RPL30. Recombinant protein control fragment (Product #RP-102205). | |
100 μL | |
Primary | |
Human | |
Antibody | |
IgG |
Product Content Correction
Your input is important to us. Please complete this form to provide feedback related to the content on this product.
Product Title
Spot an opportunity for improvement?Share a Content Correction