Promotional price valid on web orders only. Your contract pricing may differ. Interested in signing up for a dedicated account number?
Learn More
Learn More
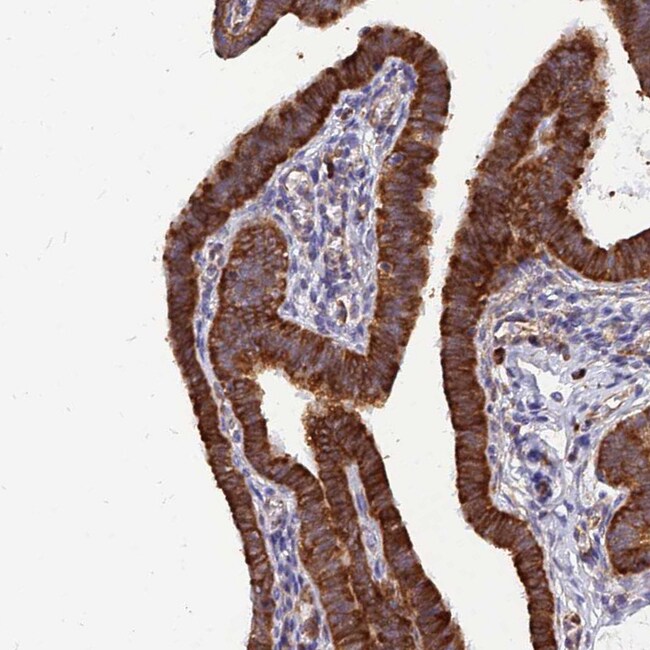
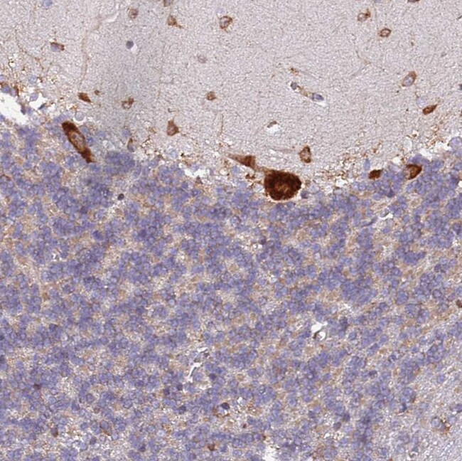
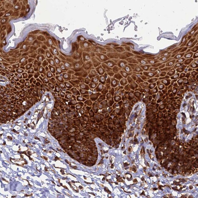
Invitrogen™ RPL8 Polyclonal Antibody

Rabbit Polyclonal Antibody
Supplier: Invitrogen™ PA583755
Description
Immunogen sequence: LAKVVFRDPY RFKKRTELFI AAEGIHTGQF VYCGKKAQLN IGNVLPVGTM PEGTIVCCLE EKPGDRGKLA RASGNYATVI SHNPETK.
Ribosomes, the organelles that catalyze protein synthesis, consist of a small 40S subunit and a large 60S subunit. Together these subunits are composed of 4 RNA species and approximately 80 structurally distinct proteins. This gene encodes a ribosomal protein that is a component of the 60S subunit. The protein belongs to the L2P family of ribosomal proteins. It is located in the cytoplasm. In rat, the protein associates with the 5. 8S rRNA, very likely participates in the binding of aminoacyl-tRNA, and is a constituent of the elongation factor 2-binding site at the ribosomal subunit interface. Alternatively spliced transcript variants encoding the same protein exist. As is typical for genes encoding ribosomal proteins, there are multiple processed pseudogenes of this gene dispersed through the genome.
Specifications
RPL8 | |
Polyclonal | |
Unconjugated | |
Rpl8 | |
60S ribosomal protein L8; hypothetical protein LOC535056; L8; Large ribosomal subunit protein uL2; ribosomal protein L8; rpl8; zgc:73105; zgc:77641 | |
Rabbit | |
Antigen Affinity Chromatography | |
RUO | |
6132 | |
Store at 4°C short term. For long term storage, store at -20°C, avoiding freeze/thaw cycles. | |
Liquid |
Immunohistochemistry (Paraffin), Western Blot | |
0.2 mg/mL | |
PBS with 40% glycerol and 0.02% sodium azide; pH 7.2 | |
P62917 | |
Rpl8 | |
Recombinant protein corresponding to Human RPL8. Recombinant protein control fragment (Product #RP-100637). | |
100 μL | |
Primary | |
Human | |
Antibody | |
IgG |
Safety and Handling
WARNING: Cancer - www.P65Warnings.ca.gov
Product Content Correction
Your input is important to us. Please complete this form to provide feedback related to the content on this product.
Product Title
Spot an opportunity for improvement?Share a Content Correction