Learn More
Invitrogen™ RPL8 Polyclonal Antibody

Rabbit Polyclonal Antibody
Supplier: Invitrogen™ PA587590
Description
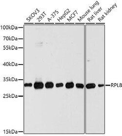
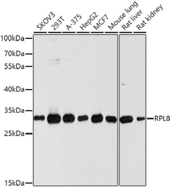
Immunogen sequence: MGRVIRGQRK GAGSVFRAHV KHRKGAARLR AVDFAERHGY IKGIVKDIIH DPGRGAPLAK VVFRDPYRFK KRTELFIAAE GIHTGQFVYC GKKAQLNIGN VLPVGTMPEG TIVCCLEEKP GDRGKLARAS GNYATVISHN PETKKTRVKL PSGSKKVISS ANRAVVGVVA GGGRIDKPIL KAGRAYHKYK AKRNCWPRVR GVAMNPVEHP FGGGNHQHIG KPSTIRRDAP AGRKVGLIAA RRTGRLRGTK TVQEKEN; Positive Samples: SKOV3, 293T, A-375, HepG2, MCF7, Mouse lung, Rat liver, Rat kidney; Cellular Location: Cytoplasm.
Ribosomes, the organelles that catalyze protein synthesis, consist of a small 40S subunit and a large 60S subunit. Together these subunits are composed of 4 RNA species and approximately 80 structurally distinct proteins. This gene encodes a ribosomal protein that is a component of the 60S subunit. The protein belongs to the L2P family of ribosomal proteins. It is located in the cytoplasm. In rat, the protein associates with the 5. 8S rRNA, very likely participates in the binding of aminoacyl-tRNA, and is a constituent of the elongation factor 2-binding site at the ribosomal subunit interface. Alternatively spliced transcript variants encoding the same protein exist. As is typical for genes encoding ribosomal proteins, there are multiple processed pseudogenes of this gene dispersed through the genome.
Specifications
| RPL8 | |
| Polyclonal | |
| Unconjugated | |
| Rpl8 | |
| 60S ribosomal protein L8; hypothetical protein LOC535056; L8; Large ribosomal subunit protein uL2; ribosomal protein L8; rpl8; zgc:73105; zgc:77641 | |
| Rabbit | |
| Affinity Chromatography | |
| RUO | |
| 26961, 26962, 6132 | |
| -20°C, Avoid Freeze/Thaw Cycles | |
| Liquid |
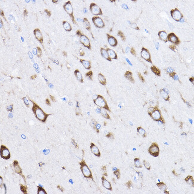
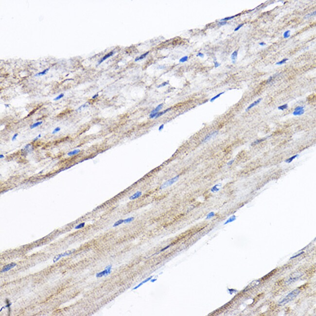
| ELISA, Immunohistochemistry (Paraffin), Western Blot, Immunocytochemistry | |
| 1.65 mg/mL | |
| PBS with 50% glycerol and 0.02% sodium azide; pH 7.3 | |
| P62917, P62918, P62919 | |
| Rpl8 | |
| Recombinant fusion protein containing a sequence corresponding to amino acids 1-257 of human RPL8 (NP_0009641). | |
| 100 μL | |
| Primary | |
| Human, Mouse, Rat | |
| Antibody | |
| IgG |
Your input is important to us. Please complete this form to provide feedback related to the content on this product.