Promotional price valid on web orders only. Your contract pricing may differ. Interested in signing up for a dedicated account number?
Learn More
Learn More
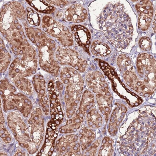
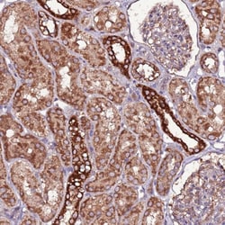
Invitrogen™ RPS15A Polyclonal Antibody

Rabbit Polyclonal Antibody
Supplier: Invitrogen™ PA561426
Description
Immunogen sequence: TGRLNKCGVI SPRFDVQLKD LE Highest antigen sequence identity to the following orthologs: Mouse - 100%, Rat - 100%.
RPS15A consist of a small 40S subunit and a large 60S subunit. Together these subunits are composed of 4 RNA species and approximately 80 structurally distinct proteins. This gene encodes a ribosomal protein that is a component of the 40S subunit. The protein belongs to the S8P family of ribosomal proteins. It is located in the cytoplasm. As is typical for genes encoding ribosomal proteins, there are multiple processed pseudogenes of this gene dispersed through the genome.
Specifications
RPS15A | |
Polyclonal | |
Unconjugated | |
RPS15A | |
40S ribosomal protein S15a; A630031B11Rik; OK/SW-cl.82; ribosomal protein S15a; Rps15a; S15a; Small ribosomal subunit protein uS8; up-regulated by HBV X protein | |
Rabbit | |
Antigen affinity chromatography | |
RUO | |
6210 | |
Store at 4°C short term. For long term storage, store at -20°C, avoiding freeze/thaw cycles. | |
Liquid |
Immunohistochemistry (Paraffin) | |
0.3 mg/mL | |
PBS with 40% glycerol and 0.02% sodium azide; pH 7.2 | |
P62244 | |
RPS15A | |
Recombinant protein corresponding to Human RPS15A. Recombinant protein control fragment (Product #RP-100802). | |
100 μL | |
Primary | |
Human | |
Antibody | |
IgG |
Product Content Correction
Your input is important to us. Please complete this form to provide feedback related to the content on this product.
Product Title
Spot an opportunity for improvement?Share a Content Correction