Learn More
Invitrogen™ RPS18 Polyclonal Antibody

Description
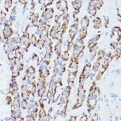
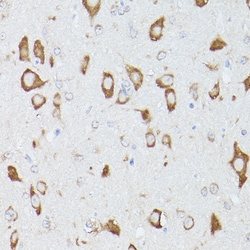
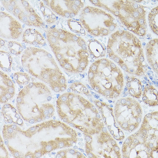
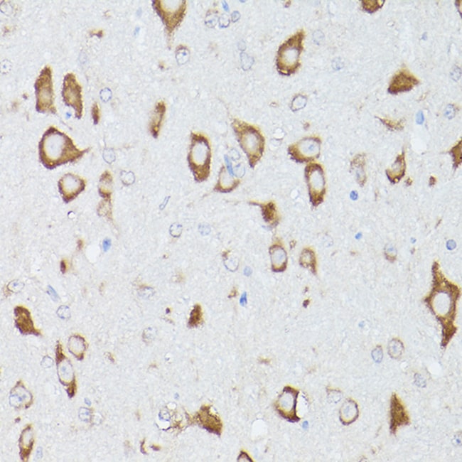
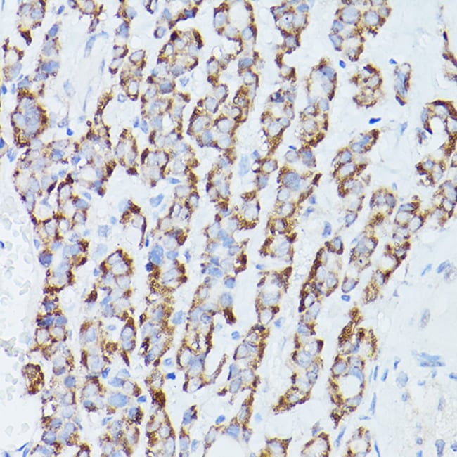
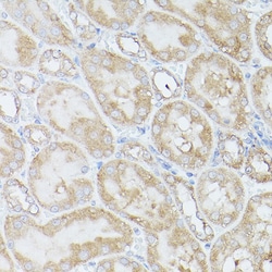
Positive Samples: U-87MG, HT-29, LO2, SKOV3, A375, Mouse brain, Mouse kidney; Cellular Location: Cytoplasm.
Specifications
Specifications
| Antigen | RPS18 |
| Applications | ELISA, Immunohistochemistry (Paraffin), Western Blot, Immunocytochemistry |
| Classification | Polyclonal |
| Concentration | 2.67 mg/mL |
| Conjugate | Unconjugated |
| Formulation | PBS with 50% glycerol and 0.05% ProClin 300; pH 7.3 |
| Gene | RPS18 |
| Gene Accession No. | P62269, P62270, P62271 |
| Gene Alias | 40S ribosomal protein S18; D6S218E; H-2Ke3; H2-Ke3; HKE3; KE3; KE-3; rhabdomyosarcoma antigen MU-RMS-40.21; ribosomal protein S18; RPS18; S18; Small ribosomal subunit protein uS13 |
| Gene Symbols | RPS18 |
| Show More |
Safety and Handling
By clicking Submit, you acknowledge that you may be contacted by Fisher Scientific in regards to the feedback you have provided in this form. We will not share your information for any other purposes. All contact information provided shall also be maintained in accordance with our Privacy Policy.