Learn More
Invitrogen™ RPS27A Polyclonal Antibody

Rabbit Polyclonal Antibody
Supplier: Invitrogen™ PA5120284
Description
The target is usually found in the following locations: Cytoplasm, Nucleus. Immunogen sequence: MQIFVKTLTG KTITLEVEPS DTIENVKAKI QDKEGIPPDQ QRLIFAGKQL EDGRTLSDYN IQKESTLHLV LRLRGGAKKR KKKSYTTPKK NKHKRKKVKL AVLKYYKVDE NGKISRLRRE CPSDECGAGV FMASHFDRHY CGKCCLTYCF NKPEDK.
Ubiquitin, a highly conserved protein that has a major role in targeting cellular proteins for degradation by the 26S proteosome, is synthesized as a precursor protein consisting of either polyubiquitin chains or a single ubiquitin fused to an unrelated protein. This gene encodes a fusion protein consisting of ubiquitin at the N terminus and ribosomal protein S27a at the C terminus. When expressed in yeast, the protein is post-translationally processed, generating free ubiquitin monomer and ribosomal protein S27a. Ribosomal protein S27a is a component of the 40S subunit of the ribosome and belongs to the S27AE family of ribosomal proteins. It contains C4-type zinc finger domains and is located in the cytoplasm. Pseudogenes derived from this gene are present in the genome. As with ribosomal protein S27a, ribosomal protein L40 is also synthesized as a fusion protein with ubiquitin; similarly, ribosomal protein S30 is synthesized as a fusion protein with the ubiquitin-like protein fubi. Multiple alternatively spliced transcript variants that encode the same proteins have been identified.
Specifications
RPS27A | |
Polyclonal | |
Unconjugated | |
RPS27A | |
0610006J14Rik; 40S ribosomal protein S27a; CEP80; epididymis luminal protein 112; HEL112; LOC100912032; ribosomal protein S27a; Rps27a; S27A; Small ribosomal subunit protein eS31; Uba52; UBA80; Ubb; UBC; UBCEP1; UBCEP80; Ubiquitin; ubiquitin and ribosomal protein S27a; ubiquitin C; ubiquitin carboxyl extension protein 80; Ubiquitin-40S ribosomal protein S27a; ubiquitin-40S ribosomal protein S27a-like; ubiquitin-CEP80 | |
Rabbit | |
Affinity chromatography | |
RUO | |
100912032, 6233, 78294 | |
-20°C, Avoid Freeze/Thaw Cycles | |
Liquid |
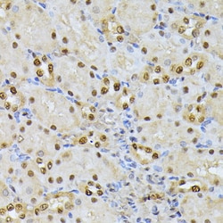
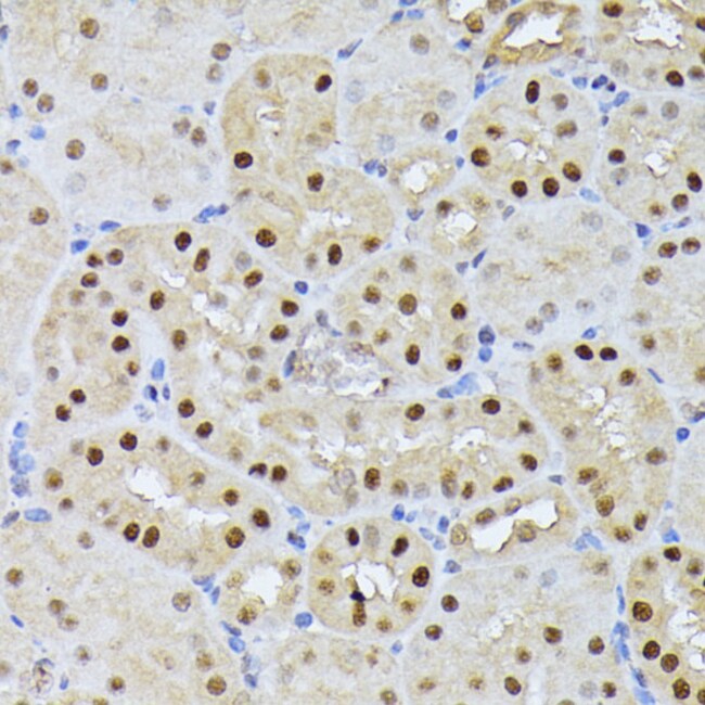
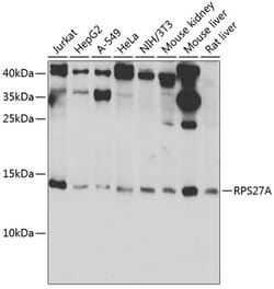
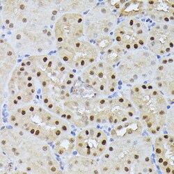
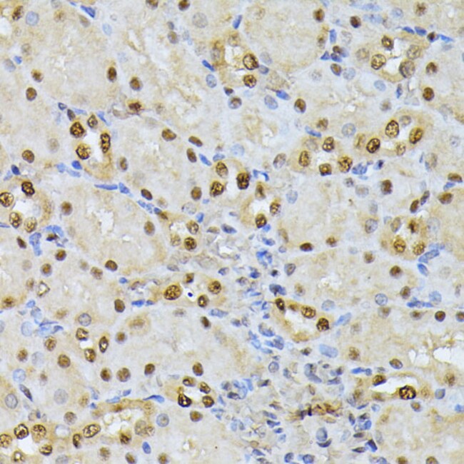
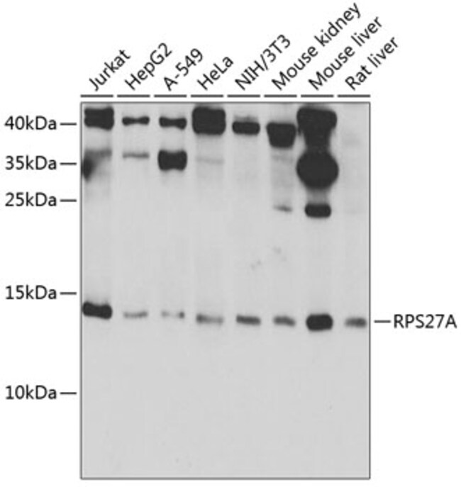
ELISA, Immunohistochemistry (Paraffin), Western Blot | |
1.78 mg/mL | |
PBS with 50% glycerol and 0.02% sodium azide; pH 7.3 | |
P62979, P62982, P62983 | |
RPS27A | |
Recombinant fusion protein containing a sequence corresponding to amino acids 1-156 of human RPS27A (NP_001170884.1). | |
100 μL | |
Primary | |
Human, Mouse, Rat | |
Antibody | |
IgG |
Safety and Handling
Your input is important to us. Please complete this form to provide feedback related to the content on this product.