Promotional price valid on web orders only. Your contract pricing may differ. Interested in signing up for a dedicated account number?
Learn More
Learn More
RRAS2 Rabbit anti-Human, Mouse, Polyclonal, Proteintech

Rabbit Polyclonal Antibody
Supplier: Proteintech Group Inc 125301AP150UL

Description
RRAS2 is involved in activating mutations and the overexpression of classical Ras subfamily members (K-RAS, N-RAS and H-RAS) have been widely investigated as key events in the development of human cancers. The RRAS subfamily of Ras-related proteins includes RRAS1, RRAS2 (TC21) and RRAS3 (M-Ras) show overall amino acid identity with the classical Ras subfamily (H-Ras, K-Ras and N-Ras) of 55-60%. RRAS2 is a small GTP binding protein of the Ras superfamily of GTPases. It might transduce growth inhibitory signals across the cell membrane, exerting its effect through an effector shared with the Ras proteins. RRAS2 has high oncogenic potential and overexpression/mutations have been reported in several tumor tissues and cell lines.Specifications
RRAS2 | |
Polyclonal | |
Unconjugated | |
RRAS2 | |
Ras like protein TC21, Ras related protein R Ras2, RRAS2, TC21, Teratocarcinoma oncogene | |
Rabbit | |
Antigen Affinity Chromatography | |
RUO | |
22800, 66922 | |
-20°C | |
Liquid |
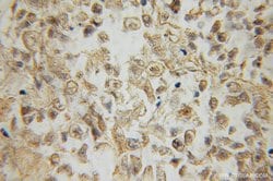
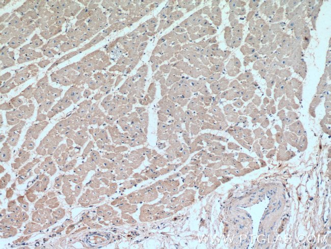
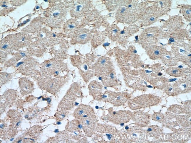
Flow Cytometry, Immunocytochemistry, Immunofluorescence, Immunohistochemistry (Paraffin), Immunoprecipitation | |
0.13 mg/mL | |
PBS with 50% glycerol and 0.1% sodium azide; pH 7.3 | |
P62070, P62071 | |
Rras2 | |
RRAS2 Fusion Protein Ag3226 | |
150 μL | |
Primary | |
Human, Mouse | |
Antibody | |
IgG |
Product Content Correction
The Fisher Scientific Encompass Program offers items which are not part of our distribution portfolio. These products typically do not have pictures or detailed descriptions. However, we are committed to improving your shopping experience. Please use the form below to provide feedback related to the content on this product.
Product Title
Spot an opportunity for improvement?Share a Content Correction