Promotional price valid on web orders only. Your contract pricing may differ. Interested in signing up for a dedicated account number?
Learn More
Learn More
Invitrogen™ RSK1/RSK2/RSK3 Polyclonal Antibody

Rabbit Polyclonal Antibody
Supplier: Invitrogen™ PA5120703
This item is not returnable.
View return policy
Description
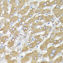
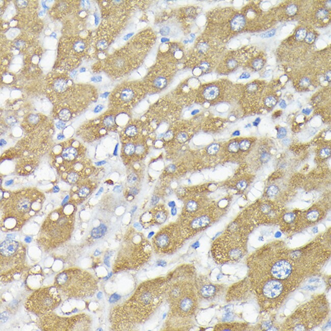
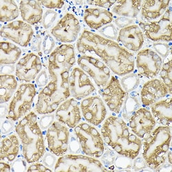
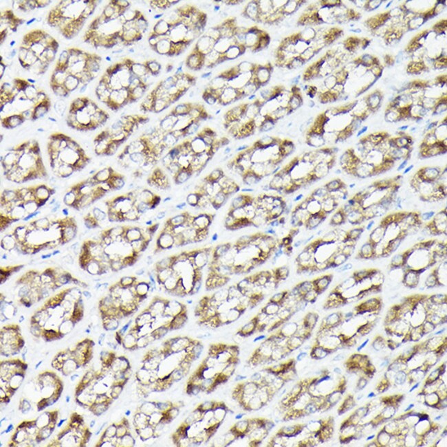
Positive test controls include: Jurkat, C6, Mouse brain. Immunogen sequence: LGILLYTMLA GYTPFANGPS DTPEEILTRI GSGKFTLSGG NWNTVSETAK DLVSKMLHVD PHQRLTAKQV LQHPWVTQKD KLPQSQLSHQ DLQLVKGAMA A.
This gene encodes a member of the RSK (ribosomal S6 kinase) family of serine/threonine kinases. This kinase contains 2 nonidentical kinase catalytic domains and phosphorylates various substrates, including members of the mitogen-activated kinase (MAPK) signalling pathway. The activity of this protein has been implicated in controlling cell growth and differentiation. Alternate transcriptional splice variants, encoding different isoforms, have been characterized.
Specifications
RSK1/RSK2/RSK3 | |
Polyclonal | |
Unconjugated | |
Rps6ka1 | |
90 kDa ribosomal protein S6 kinase 1; 90 kDa ribosomal protein S6 kinase 2; 90 kDa ribosomal protein S6 kinase 3; 90kDa; C130006E23; CLS; D17Wsu134e; dJ590P13.1 (ribosomal protein S6 kinase, 90kD, polypeptide 1); HU-1; HU-2; HU-3; Insulin-stimulated protein kinase 1; ISPK1; ISPK-1; MAP kinase-activated protein kinase 1; MAP kinase-activated protein kinase 1a; MAP kinase-activated protein kinase 1b; MAP kinase-activated protein kinase 1c; MAPK-activated protein kinase 1; MAPK-activated protein kinase 1a; MAPK-activated protein kinase 1b; MAPK-activated protein kinase 1c; MAPKAP kinase 1; MAPKAP kinase 1a; MAPKAP kinase 1b; MAPKAP kinase 1C; MAPKAPK-1; MAPKAPK1A; MAPKAPK-1a; MAPKAPK1B; MAPKAPK-1b; Mapkapk1c; MAPKAPK-1c; mitogen-activated protein kinase-activated protein kinase 1C; MPK-9; MRX19; p90 rsk; p90Rsk; p90-RSK; p90-RSK 1; p90-RSK 2; p90-RSK 3; p90Rsk1; p90-Rsk1; p90RSK2; p90-RSK2; p90RSK3; p90-RSK3; p90S6K; pp90rsk; pp90RSK1; pp90RSK2; pp90RSK3; protein-tyrosine kinase Mpk-9; RGD1563860; ribosomal protein S6 kinase 2; ribosomal protein S6 kinase 2 alpha; ribosomal protein S6 kinase A1; ribosomal protein S6 kinase A2; ribosomal protein S6 kinase A3; ribosomal protein S6 kinase alpha 1; ribosomal protein S6 kinase alpha 2; ribosomal protein S6 kinase alpha-1; Ribosomal protein S6 kinase alpha-2; ribosomal protein S6 kinase alpha-3; Ribosomal protein S6 kinase II alpha; ribosomal protein S6 kinase polypeptide 1; ribosomal protein S6 kinase polypeptide 2; ribosomal protein S6 kinase polypeptide 3; ribosomal protein S6 kinase, 90kD, polypeptide 1; Ribosomal protein S6 kinase, 90kD, 1; ribosomal protein S6 kinase, 90kD, polypeptide 2; ribosomal protein S6 kinase, 90kDa, polypeptide 1; ribosomal protein S6 kinase, 90kDa, polypeptide 2; ribosomal protein S6 kinase, 90kDa, polypeptide 3; ribosomal protein S6 kinase, polypeptide 2; ribosomal protein S6 kinase, polypeptide A1; ribosomal S6 kinase 1; Ribosomal S6 kinase 2; ribosomal S6 kinase 3; RP11-393H10.3; RPS6KA; Rps6ka1; RPS6KA1L; Rps6ka2; Rps6ka3; Rps6ka-rs1; RSK; Rsk1; Rsk-1; RSK2; RSK-2; RSK3; RSK-3; S6 protein kinase (Rsk-1); S6K-alpha; S6K-alpha 1; S6K-alpha 2; S6K-alpha-1; S6K-alpha2; S6K-alpha-2; S6K-alpha3; S6K-alpha-3; S6KII-alpha | |
Rabbit | |
Affinity Chromatography | |
RUO | |
110651, 117269, 20111, 20112, 501560, 6195, 6196, 6197, 81771 | |
-20°C, Avoid Freeze/Thaw Cycles | |
Liquid |
ELISA, Immunohistochemistry (Paraffin), Western Blot, Immunocytochemistry | |
2.386 mg/mL | |
PBS with 50% glycerol and 0.01% thimerosal; pH 7.3 | |
P18653, P18654, P51812, Q15349, Q15418, Q63531, Q9WUT3 | |
Rps6ka1, RPS6KA2, RPS6KA3 | |
A synthetic peptide corresponding to a sequence within amino acids 600-700 of human RPS6KA1/RPS6KA2/RPS6KA3 (NP_002944.2). | |
100 μL | |
Primary | |
Human, Mouse, Rat | |
Antibody | |
IgG |
Product Content Correction
Your input is important to us. Please complete this form to provide feedback related to the content on this product.
Product Title
Spot an opportunity for improvement?Share a Content Correction