Promotional price valid on web orders only. Your contract pricing may differ. Interested in signing up for a dedicated account number?
Learn More
Learn More
Invitrogen™ RSPO1 Polyclonal Antibody

Rabbit Polyclonal Antibody
Supplier: Invitrogen™ PA520749
Description
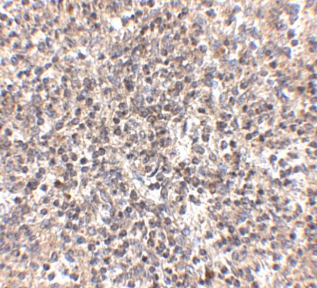
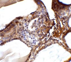
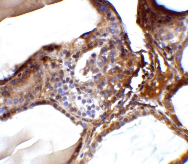
A suggested positive control is rat spleen tissue lysate. PA5-20749 can be used with blocking peptide PEP-0863.
This gene is a member of the R-spondin family and encodes a secreted activator protein with two cystein-rich, furin-like domains and one thrombospondin type 1 domain. In mice, the protein induces the rapid onset of crypt cell proliferation and increases intestinal epithelial healing, providing a protective effect against chemotherapy-induced adverse effects.
Specifications
RSPO1 | |
Polyclonal | |
Unconjugated | |
RSPO1 | |
CRISTIN3; cristin-3; cysteine-rich and single thrombospondin domain-containing protein 3; FLJ40906; hRspo1; mCristin-3; RGD1565558; Roof plate-specific spondin-1; RP11-566C13.1; RSPO; RSPO1; Rspondin; R-spondin; R-spondin 1; R-spondin homolog; R-spondin homolog (Xenopus laevis); R-spondin-1; thrombospondin type 1 domain containing gene Rspondin | |
Rabbit | |
Antigen affinity chromatography | |
RUO | |
192199, 284654 | |
4°C | |
Liquid |
Immunohistochemistry (Paraffin), Immunohistochemistry (PFA fixed), Western Blot | |
1 mg/mL | |
PBS with 0.02% sodium azide | |
Q2MKA7, Q9Z132 | |
RSPO1 | |
A 16 amino acid peptide from near the amino terminus of human RSPO1. | |
100 μg | |
Primary | |
Human, Mouse | |
Antibody | |
IgG |
Product Content Correction
Your input is important to us. Please complete this form to provide feedback related to the content on this product.
Product Title
Spot an opportunity for improvement?Share a Content Correction