Promotional price valid on web orders only. Your contract pricing may differ. Interested in signing up for a dedicated account number?
Learn More
Learn More
Invitrogen™ RTCA Polyclonal Antibody

Rabbit Polyclonal Antibody
Supplier: Invitrogen™ PA555742
Description
Immunogen sequence: LFAASPSELH LKGGTNAEMA PQIDYTVMVF KPIVEKFGFI FNCDIKTRGY YPKGGGEVIV RMSPVKQLNP INLTERGCVT KIY Highest antigen sequence identity to the following orthologs: Mouse - 89%, Rat - 90%.
RTCD1 catalyzes the conversion of 3'-phosphate to a 2', 3'-cyclic phosphodiester at the end of RNA. The mechanism of action of the enzyme occurs in 3 steps: (A) adenylation of the enzyme by ATP; (B) the enzyme acts on RNA-N3'P to produce RNA-N3'PP5'A; (C) a non catalytic nucleophilic attack by the adjacent 2'hydroxyl on the phosphorus in the diester linkage to produce the cyclic end product. The biological role of this enzyme is unknown but it is likely to function in some aspects of cellular RNA processing. There are two named isoforms.
Specifications
| RTCA | |
| Polyclonal | |
| Unconjugated | |
| RTCA | |
| 2310009A18Rik; AI450277; RNA 3'-terminal phosphate cyclase; RNA cyclase; RNA terminal phosphate cyclase domain 1; RNA terminal phosphate cyclase domain-containing protein 1; RNA-3'-phosphate cyclase; RPC; Rpc1; RTC domain-containing protein 1; RTC1; RTCA; Rtcd1 | |
| Rabbit | |
| Antigen affinity chromatography | |
| RUO | |
| 295395, 66368, 8634 | |
| Store at 4°C short term. For long term storage, store at -20°C, avoiding freeze/thaw cycles. | |
| Liquid |
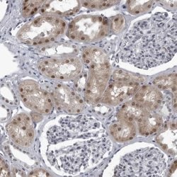
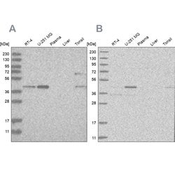
| Immunohistochemistry (Paraffin), Western Blot, Immunocytochemistry | |
| 0.05 mg/mL | |
| PBS with 40% glycerol and 0.02% sodium azide; pH 7.2 | |
| O00442, Q9D7H3 | |
| RTCA | |
| Recombinant protein corresponding to Human RTCA. Recombinant protein control fragment (Product #RP-94251). | |
| 100 μL | |
| Primary | |
| Human, Mouse, Rat | |
| Antibody | |
| IgG |
Safety and Handling
WARNING: Cancer - www.P65Warnings.ca.gov
Product Content Correction
Your input is important to us. Please complete this form to provide feedback related to the content on this product.
Product Title
Spot an opportunity for improvement?Share a Content Correction