Promotional price valid on web orders only. Your contract pricing may differ. Interested in signing up for a dedicated account number?
Learn More
Learn More
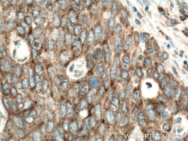
RUNDC1 Rabbit anti-Human, Mouse, Rat, Polyclonal, Proteintech

Rabbit Polyclonal Antibody
Supplier: Proteintech Group Inc 172671AP150UL

Description
RUNDC1 may play a role as p53/TP53 inhibitor and thus may have oncogenic activity.Specifications
RUNDC1 | |
Polyclonal | |
Unconjugated | |
RUNDC1 | |
RUN domain containing 1, RUNDC1 | |
Rabbit | |
Antigen Affinity Chromatography | |
RUO | |
146923, 217201, 303552 | |
-20°C | |
Liquid |
ELISA, Immunohistochemistry | |
0.25 mg/mL | |
PBS with 50% glycerol and 0.1% sodium azide; pH 7.3 | |
Q0VDN7, Q96C34 | |
Rundc1 | |
RUNDC1 Fusion Protein Ag11019 | |
150 μL | |
Primary | |
Human, Mouse, Rat | |
Antibody | |
IgG |
Product Content Correction
The Fisher Scientific Encompass Program offers items which are not part of our distribution portfolio. These products typically do not have pictures or detailed descriptions. However, we are committed to improving your shopping experience. Please use the form below to provide feedback related to the content on this product.
Product Title
Spot an opportunity for improvement?Share a Content Correction