Promotional price valid on web orders only. Your contract pricing may differ. Interested in signing up for a dedicated account number?
Learn More
Learn More
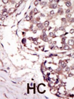
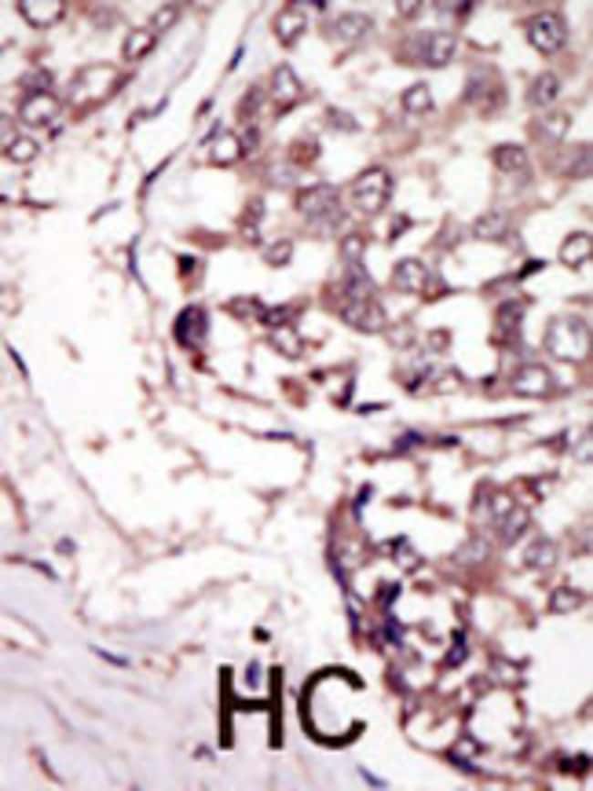
Invitrogen™ RYK Polyclonal Antibody

Rabbit Polyclonal Antibody
Supplier: Invitrogen™ PA514734
Description
This antibody is predicted to react with mouse based on sequence homology.
RYK is an atypical member of the family of growth factor receptor protein tyrosine kinases, differing from other members at a number of conserved residues in the activation and nucleotide binding domains. This gene product belongs to a subfamily whose members do not appear to be regulated by phosphorylation in the activation segment. It has been suggested that mediation of biological activity by recruitment of a signaling-competent auxiliary protein may occur through an as yet uncharacterized mechanism. A nine nucleotide insertion in some transcripts results in the SLG variant. It is not established whether this is a product of alternative splicing or a second gene, since evidence for a second gene or pseudogene on chromosome 17 exists.
Specifications
RYK | |
Polyclonal | |
Unconjugated | |
RYK | |
AW536699; D3S3195; ERK3; ERK-3; growth factor receptor; hydroxyaryl-protein kinase; JTK5; JTK5A; JTK5A protein tyrosine kinase; kinase VIK; Met-related kinase; Mrk; NYK-R; receptor-like tyrosine kinase; RYK; RYK1; tyrosine-protein kinase RYK; Vik | |
Rabbit | |
Ammonium Sulfate Precipitation, Size-exclusion - Dialysis | |
RUO | |
6259 | |
Store at 4°C short term. For long term storage, store at -20°C, avoiding freeze/thaw cycles. | |
Liquid |
Immunohistochemistry (Paraffin), Western Blot | |
1.4 mg/mL | |
PBS with 0.09% sodium azide; pH 7.4 | |
P34925 | |
RYK | |
KLH conjugated synthetic peptide between 561-591 amino acids from the C-terminal region of human RYK. | |
400 μL | |
Primary | |
Human | |
Antibody | |
IgG |
Product Content Correction
Your input is important to us. Please complete this form to provide feedback related to the content on this product.
Product Title
Spot an opportunity for improvement?Share a Content Correction