Learn More
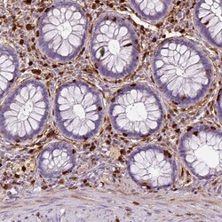
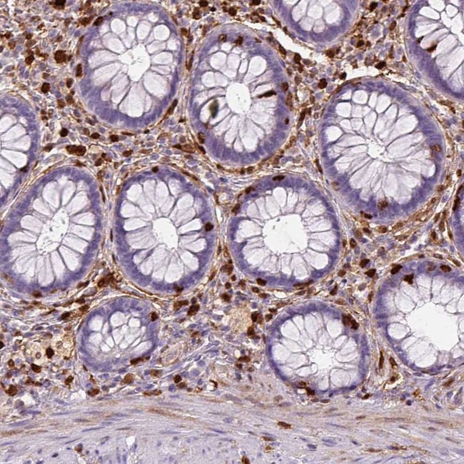
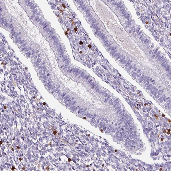
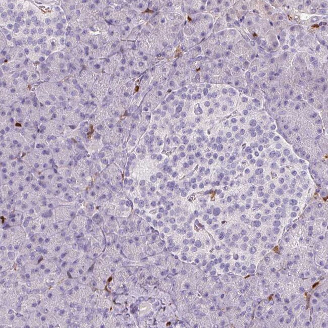
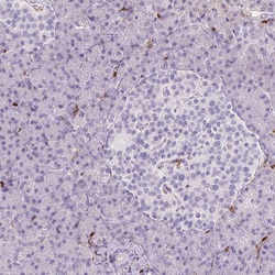
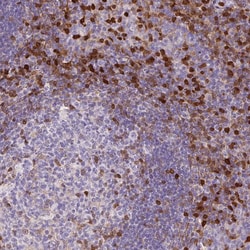
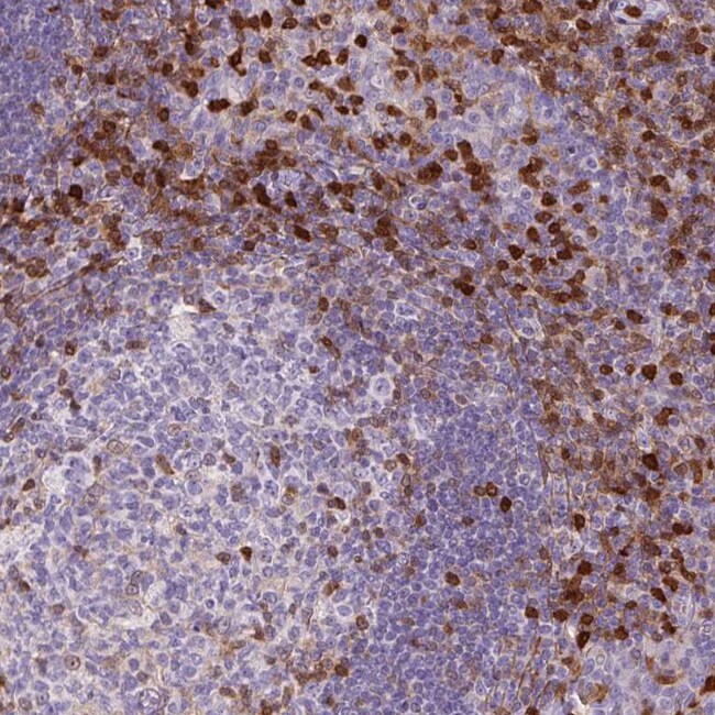
Invitrogen™ S100A4 Monoclonal Antibody (CL0240)

Description
Immunogen sequence: MACPLEKALD VMVSTFHKYS GKEGDKFKLN KSELKELLTR ELPSFLGKRT DEAAFQKLMS NLDSNRDNEV DFQEYCVFLS CIAMMCNEFF EGFPDKQPRK K Highest antigen sequence indentity to the following orthologs: Mouse - 93%, Rat - 91%.
Specifications
Specifications
| Antigen | S100A4 |
| Applications | Immunohistochemistry (Paraffin), Western Blot, Immunocytochemistry |
| Classification | Monoclonal |
| Clone | CL0240 |
| Concentration | 0.1 mg/mL |
| Conjugate | Unconjugated |
| Formulation | PBS with 40% glycerol and 0.02% sodium azide; pH 7.2 |
| Gene | S100a4 |
| Gene Accession No. | P26447 |
| Gene Alias | 18A2; 42a; calvasculin; CAPL; fibroblast-specific protein-1; FSP1; leukemia multidrug resistance associated protein; malignant transformation suppression 1; metastasin; Metastatic cell protein; Mts1; Nerve growth factor-induced protein 42A; P9K; P9KA; PeL98; pk9a; Placental calcium-binding protein; pr; protein 18A2; Protein 9 Ka homologous to calcium-binding protein; protein Mts1; Protein S100-A4; RNP9KA; S100 calcium binding protein A4; S100 calcium-binding protein A4; S100 calcium-binding protein A4 (calcium protein, calvasculin, metastasin, murine placental homolog); S100a4 |
| Show More |
By clicking Submit, you acknowledge that you may be contacted by Fisher Scientific in regards to the feedback you have provided in this form. We will not share your information for any other purposes. All contact information provided shall also be maintained in accordance with our Privacy Policy.