Learn More
Invitrogen™ Satumomab Recombinant Mouse Monoclonal Antibody (B72.3 (Satumomab))

Description
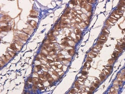
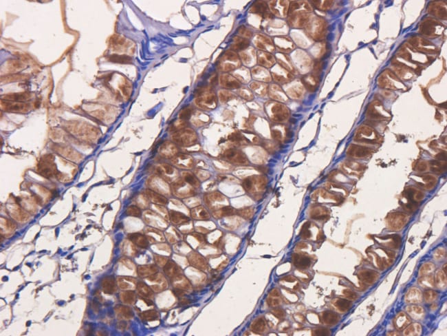
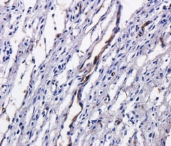
Specificity: Recognises human Tumor associated glycoprotein 72.
Specifications
Specifications
| Antigen | Satumomab |
| Applications | Flow Cytometry, Immunohistochemistry (PFA fixed), Immunomicroscopy |
| Classification | Recombinant Monoclonal |
| Clone | B72.3 (Satumomab) |
| Concentration | 1 mg/mL |
| Conjugate | Unconjugated |
| Formulation | PBS with 0.02% ProClin 300 |
| Gene Alias | Indium (111In) satumomab pendetide; OncoScint CR; OncoScint CR103 |
| Host Species | Mouse |
| Immunogen | human Tumor associated glycoprotein 72. |
| Show More |
By clicking Submit, you acknowledge that you may be contacted by Fisher Scientific in regards to the feedback you have provided in this form. We will not share your information for any other purposes. All contact information provided shall also be maintained in accordance with our Privacy Policy.