Promotional price valid on web orders only. Your contract pricing may differ. Interested in signing up for a dedicated account number?
Learn More
Learn More
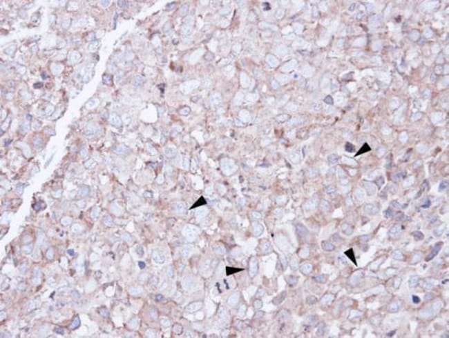
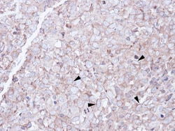
Invitrogen™ SCARA3 Polyclonal Antibody

Rabbit Polyclonal Antibody
Supplier: Invitrogen™ PA521327
Description
Recommended positive controls: HepG2. Predicted reactivity: Mouse (95%), Rat (95%). Store product as a concentrated solution. Centrifuge briefly prior to opening the vial.
Seems to protect cells by scavenging oxidative molecules or harmful products of oxidation.
Specifications
| SCARA3 | |
| Polyclonal | |
| Unconjugated | |
| SCARA3 | |
| APC7; C130058N24Rik; cellular stress response gene protein; cellular stress response protein; CSR; CSR1; macrophage scavenger receptor-like 1; MSLR1; MSRL1; Scara3; Scavenger receptor class A member 3; scavenger receptor class A, member 3 | |
| Rabbit | |
| Antigen affinity chromatography | |
| RUO | |
| 51435 | |
| Store at 4°C short term. For long term storage, store at -20°C, avoiding freeze/thaw cycles. | |
| Liquid |
| Immunohistochemistry (Paraffin), Western Blot, Immunocytochemistry | |
| 0.78 mg/mL | |
| 0.1M tris glycine with 10% glycerol and 0.01% thimerosal; pH 7 | |
| Q6AZY7 | |
| SCARA3 | |
| Recombinant protein encompassing a sequence within the Extracellular domain of human SCARA3. The exact sequence is proprietary. | |
| 100 μL | |
| Primary | |
| Human | |
| Antibody | |
| IgG |
Safety and Handling
WARNING: Cancer - www.P65Warnings.ca.gov
Product Content Correction
Your input is important to us. Please complete this form to provide feedback related to the content on this product.
Product Title
Spot an opportunity for improvement?Share a Content Correction