Promotional price valid on web orders only. Your contract pricing may differ. Interested in signing up for a dedicated account number?
Learn More
Learn More
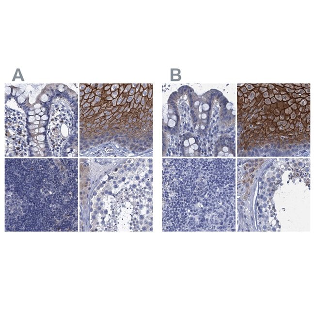
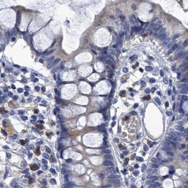
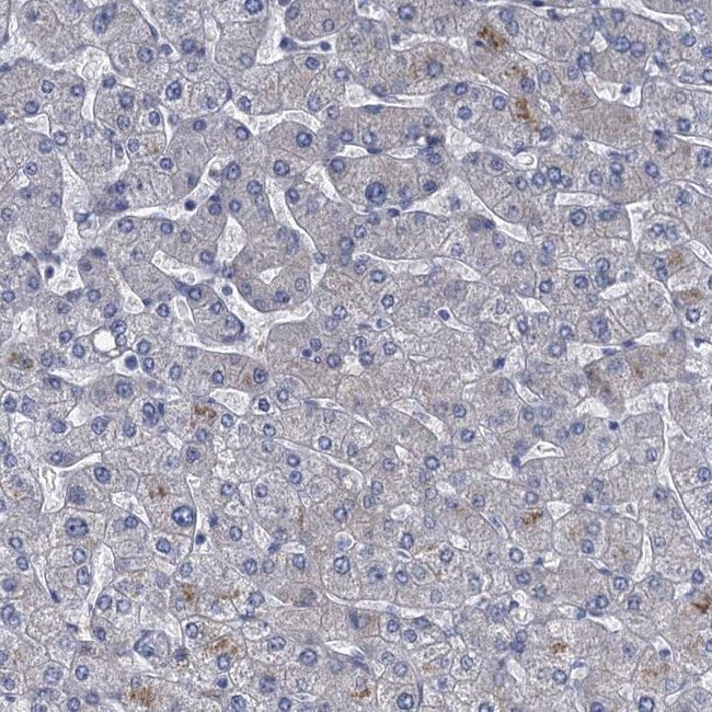
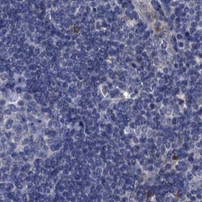
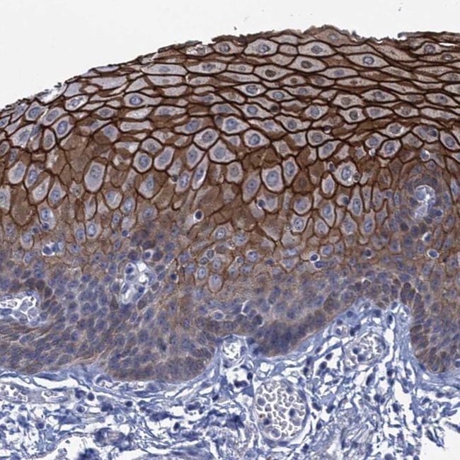
Invitrogen™ SCEL Polyclonal Antibody

Rabbit Polyclonal Antibody
Supplier: Invitrogen™ PA558908
Description
Immunogen sequence: KMSPTGNEMK STTQGTTRKQ QDFHEVNKRR TFLQDNSWIK KRPEEEKDEN YGRVVLNRHN SHDALDRKVN ERDVPKATIS RYS Highest antigen sequence identity to the following orthologs: Mouse - 75%, Rat - 78%.
May function in the assembly or regulation of proteins in the cornified envelope. The LIM domain may be involved in homotypic or heterotypic associations and may function to localize sciellin to the cornified envelope.
Specifications
SCEL | |
Polyclonal | |
Unconjugated | |
SCEL | |
9230114I02Rik; Scel; Sciellin | |
Rabbit | |
Antigen affinity chromatography | |
RUO | |
8796 | |
Store at 4°C short term. For long term storage, store at -20°C, avoiding freeze/thaw cycles. | |
Liquid |
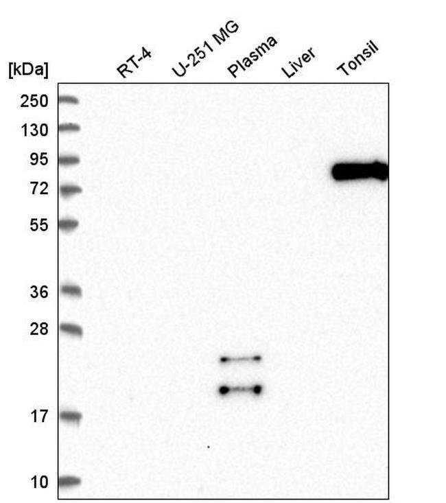
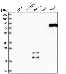
Immunohistochemistry (Paraffin), Western Blot | |
0.1 mg/mL | |
PBS with 40% glycerol and 0.02% sodium azide; pH 7.2 | |
O95171 | |
SCEL | |
Recombinant protein corresponding to Human SCEL. Recombinant protein control fragment (Product #RP-97961). | |
100 μL | |
Primary | |
Human | |
Antibody | |
IgG |
Product Content Correction
Your input is important to us. Please complete this form to provide feedback related to the content on this product.
Product Title
Spot an opportunity for improvement?Share a Content Correction