Learn More
Invitrogen™ SCNN1G Monoclonal Antibody (C1), Invitrogen™

Description
Specifications
Specifications
| Antigen | SCNN1G |
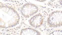
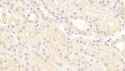
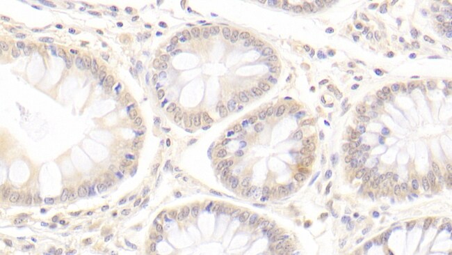
| Applications | Immunohistochemistry (Paraffin), Western Blot |
| Classification | Monoclonal |
| Clone | C1 |
| Concentration | 1 mg/mL |
| Conjugate | Unconjugated |
| Formulation | PBS with 50% glycerol and 0.05% ProClin 300; pH 7.4 |
| Gene | SCNN1G |
| Gene Accession No. | P51170 |
| Gene Alias | [g]ENaC; amiloride sensitive sodium channel gamma1 subunit; amiloride-sensitive epithelial sodium channel gamma subunit; amiloride-sensitive sodium channel gamma-subunit; amiloride-sensitive sodium channel subunit gamma; BESC3; ENaC; ENaC gamma; ENaC gamma subunit; ENaCG; ENaCgamma; epithelial Na(+) channel subunit gamma; epithelial sodium channel gamma subunit; Gamma ENaC; Gamma NaCH; gamma-ENaC; Gamma-NaCH; nonvoltage-gated sodium channel 1 subunit gamma; PHA 1; PHA1; SCNEG; SCNN 1G; Scnn1g; sodium channe epithelial 1 gamma subunit; sodium channel epithelial 1 gamma subunit; Sodium channel nonvoltage-gated 1 gamma (epithelial); sodium channel, non voltage gated 1 gamma subunit; sodium channel, nonvoltage-gated 1 gamma; sodium channel, nonvoltage-gated 1, gamma; Sodium channel, nonvoltage-gated 1, gamma (epithelial); sodium channel, non-voltage-gated 1, gamma subunit; sodium channel, nonvoltage-gated, type I, gamma |
| Show More |
By clicking Submit, you acknowledge that you may be contacted by Fisher Scientific in regards to the feedback you have provided in this form. We will not share your information for any other purposes. All contact information provided shall also be maintained in accordance with our Privacy Policy.