Promotional price valid on web orders only. Your contract pricing may differ. Interested in signing up for a dedicated account number?
Learn More
Learn More
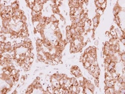
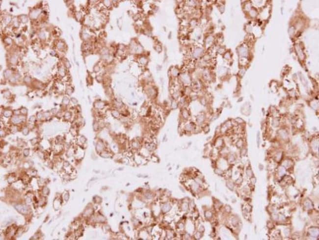
Invitrogen™ SDR16C5 Polyclonal Antibody

Rabbit Polyclonal Antibody
Supplier: Invitrogen™ PA531421
Description
Recommended positive controls: IMR32. Predicted reactivity: Mouse (83%), Rat (86%), Pig (82%), Sheep (83%), Rhesus Monkey (93%), Bovine (82%). Store product as a concentrated solution. Centrifuge briefly prior to opening the vial.
RDHE2 belongs to a family of short-chain alcohol dehydrogenases/reductases that catalyze the first and rate-limiting step that generates retinaldehyde from retinol (Matsuzaka et al., 2002 [PubMed 12372410]).
Specifications
SDR16C5 | |
Polyclonal | |
Unconjugated | |
SDR16C5 | |
EPHD-2; epidermal retinal dehydrogenase 2; epidermal retinol dehydrogenase 2; RDH#2; RDHE2; RDH-E2; retinal short chain dehydrogenase reductase; retinal short chain dehydrogenase reductase (Rdhe2); retinal short chain dehydrogenase reductase 2; retinal short-chain dehydrogenase reductase 2; retSDR2; Scdr9; Sdr16c5; short chain dehydrogenase reductase 9; short chain dehydrogenase/reductase family 16C, member 5; short-chain dehydrogenase reductase 9; Short-chain dehydrogenase/reductase family 16C member 5 | |
Rabbit | |
Antigen affinity chromatography | |
RUO | |
195814 | |
Store at 4°C short term. For long term storage, store at -20°C, avoiding freeze/thaw cycles. | |
Liquid |
Immunohistochemistry (Paraffin), Western Blot | |
1 mg/mL | |
PBS with 1% BSA, 20% glycerol and 0.01% thimerosal; pH 7 | |
Q8N3Y7 | |
SDR16C5 | |
Recombinant protein encompassing a sequence within the center region of human SDR16C5. The exact sequence is proprietary. | |
100 μL | |
Primary | |
Human | |
Antibody | |
IgG |
Product Content Correction
Your input is important to us. Please complete this form to provide feedback related to the content on this product.
Product Title
Spot an opportunity for improvement?Share a Content Correction