Promotional price valid on web orders only. Your contract pricing may differ. Interested in signing up for a dedicated account number?
Learn More
Learn More
SDS Monoclonal Antibody (OTI1A8), TrueMAB™, OriGene

Mouse Monoclonal Antibody
Supplier: OriGene TA504011

Description
SDS encodes one of three enzymes that are involved in metabolizing serine and glycine. L-serine dehydratase converts L-serine to pyruvate and ammonia and requires pyridoxal phosphate as a cofactor. The encoded protein can also metabolize threonine to NH4+ and 2-ketobutyrate. The encoded protein is found predomitly in the liver.Specifications
SDS | |
Monoclonal | |
0.56 mg/mL | |
PBS with 1% BSA, 50% glycerol and 0.02% sodium azide | |
P20132 | |
SDS | |
Full length human recombit protein of human SDS produced in HEK293T cell. | |
100 μL | |
Primary | |
Human | |
Antibody | |
IgG1 |
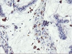
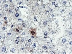
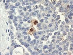
Flow Cytometry, Immunohistochemistry (Paraffin), Western Blot | |
OTI1A8 | |
Unconjugated | |
SDS | |
SDH | |
Mouse | |
Affinity Chromatography | |
RUO | |
10993 | |
-20° C, Avoid Freeze/Thaw Cycles | |
Liquid |
Product Content Correction
The Fisher Scientific Encompass Program offers items which are not part of our distribution portfolio. These products typically do not have pictures or detailed descriptions. However, we are committed to improving your shopping experience. Please use the form below to provide feedback related to the content on this product.
Product Title
Spot an opportunity for improvement?Share a Content Correction