Promotional price valid on web orders only. Your contract pricing may differ. Interested in signing up for a dedicated account number?
Learn More
Learn More
Invitrogen™ SEC13 Polyclonal Antibody

Rabbit Polyclonal Antibody
Supplier: Invitrogen™ PA5111059
Description
Immunogen sequence: ISLLTYTGEG QWEVKKINNA HTIGCNAVSW APAVVPGSLI DHPSGQKPNY IKRFASGGCD NLIKLWKEEE DGQWKEEQKL EAHSDWVRDV.
The protein encoded by this gene belongs to the SEC13 family of WD-repeat proteins. It is a constituent of the endoplasmic reticulum and the nuclear pore complex. It has similarity to the yeast SEC13 protein, which is required for vesicle biogenesis from endoplasmic reticulum during the transport of proteins. Multiple alternatively spliced transcript variants have been found.
Specifications
| SEC13 | |
| Polyclonal | |
| PBS with 40% glycerol and 0.02% sodium azide; pH 7.2 | |
| P55735 | |
| SEC13 | |
| Recombinant Protein corresonding to Human SEC13. Recombinant protein control fragment (Product #RP-96386). | |
| 100 μL | |
| Primary | |
| Human | |
| Antibody | |
| IgG |
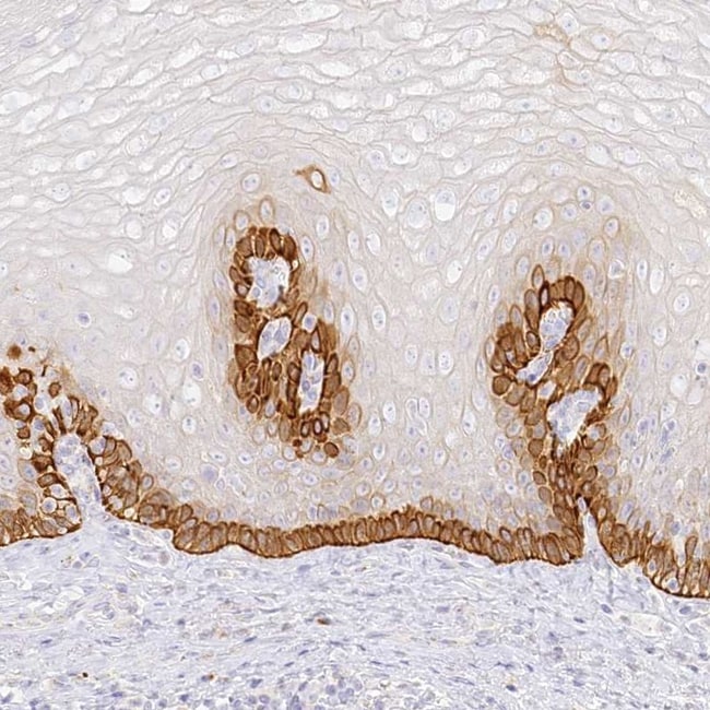
| Immunohistochemistry (Paraffin), Western Blot | |
| Unconjugated | |
| SEC13 | |
| 1110003H02Rik; D3S1231E; GATOR complex protein SEC13; npp-20; Protein SEC13 homolog; Sec13; SEC13 homolog; SEC13 homolog (S. cerevisiae); SEC13 homolog, nuclear pore and COPII coat complex component; SEC13 homolog, nuclear pore and COPII coating complex component; SEC13 related; SEC13A; Sec13l1; SEC13-like 1; SEC13-like 1 isoform; SEC13-like protein 1; SEC13R; SEC13-related protein | |
| Rabbit | |
| Antigen affinity chromatography | |
| RUO | |
| 6396 | |
| Store at 4°C short term. For long term storage, store at -20°C, avoiding freeze/thaw cycles. | |
| Liquid |
Safety and Handling
WARNING: Cancer - www.P65Warnings.ca.gov
Product Content Correction
Your input is important to us. Please complete this form to provide feedback related to the content on this product.
Product Title
Spot an opportunity for improvement?Share a Content Correction