Learn More
Sec23IP/MSTP053 Rabbit anti-Human, Polyclonal, Bethyl Laboratories
Rabbit Polyclonal Antibody
Supplier: Bethyl Laboratories, Inc A300592A

Description
The recommended shelf life for this product is 1 year from date of receipt.
COPII-coated vesicles are involved in protein transport from the endoplasmic reticulum to the Golgi apparatus. The protein encoded by this gene was identified by its interaction with a mouse protein similar to yeast Sec23p, an essential component of the COPII. This protein shares significant similarity with phospholipid-modifying proteins, especially phosphatidic acid preferring-phospholipase A1. Overexpression of this protein has been shown to cause disorganization of the endoplasmic reticulum-Golgi intermediate compartment and Golgi apparatus, which suggests its role in the early secretory pathway.Specifications
Sec23IP/MSTP053 | |
Polyclonal | |
Unconjugated | |
SEC23IP | |
SEC23 interacting protein, MSTP053, P125, P125A | |
Rabbit | |
Antigen affinity chromatography | |
RUO | |
11196 | |
4° C | |
Liquid |
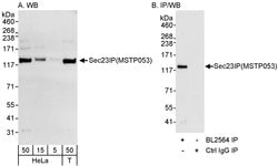
Immunoprecipitation, Western Blot | |
0.2 mg/ml | |
TBS with 0.1% BSA and 0.09% sodium azide | |
Q9Y6Y8 | |
SEC23IP | |
Between 1 and 50 | |
100 μL | |
Primary | |
Human | |
Antibody | |
IgG |
The Fisher Scientific Encompass Program offers items which are not part of our distribution portfolio. These products typically do not have pictures or detailed descriptions. However, we are committed to improving your shopping experience. Please use the form below to provide feedback related to the content on this product.