Promotional price valid on web orders only. Your contract pricing may differ. Interested in signing up for a dedicated account number?
Learn More
Learn More
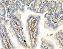
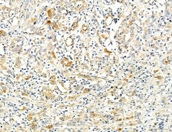
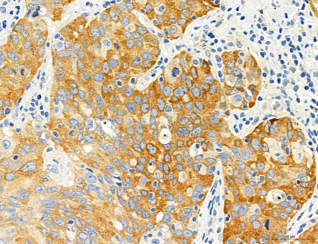
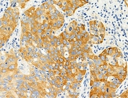
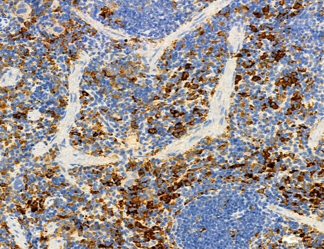
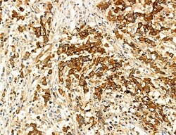
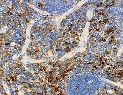
Invitrogen™ SEC61G Polyclonal Antibody

Rabbit Polyclonal Antibody
Supplier: Invitrogen™ PA5106309
Description
Antibody detects endogenous levels of total SEC61G.
SEC61G is a subunit of the SEC61 complex, which also contains alpha (SEC61A) and beta (SEC61B) subunits. The SEC61 complex is the central component of the protein translocation apparatus on the endoplasmic reticulum membrane. The gene of SEC61G maps to chromosome 7p11.2, and encodes a 68-amino acid single-pass membrane protein.
Specifications
| SEC61G | |
| Polyclonal | |
| Unconjugated | |
| Sec61g | |
| protein transport protein SEC61 gamma subunit; protein transport protein Sec61 subunit gamma; Sec61 gamma subunit; Sec61 translocon gamma subunit; SEC61, gamma subunit; Sec61g; SSS1 | |
| Rabbit | |
| Affinity chromatography | |
| RUO | |
| 20335, 23480, 689134 | |
| -20°C | |
| Liquid |
| Immunohistochemistry (Paraffin), Western Blot | |
| 1 mg/mL | |
| PBS with 50% glycerol and 0.02% sodium azide; pH 7.4 | |
| P60059, P60060 | |
| Sec61g | |
| A synthesized peptide derived from human SEC61G(Accession P60059), corresponding to amino acid residues Q6-L56. | |
| 100 μL | |
| Primary | |
| Human, Mouse, Rat | |
| Antibody | |
| IgG |
Safety and Handling
WARNING: Cancer - www.P65Warnings.ca.gov
Product Content Correction
Your input is important to us. Please complete this form to provide feedback related to the content on this product.
Product Title
Spot an opportunity for improvement?Share a Content Correction