Promotional price valid on web orders only. Your contract pricing may differ. Interested in signing up for a dedicated account number?
Learn More
Learn More
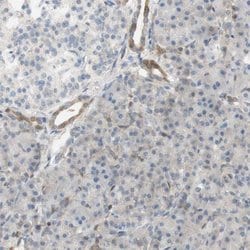
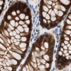
Invitrogen™ SELENBP1 Polyclonal Antibody

Rabbit Polyclonal Antibody
Supplier: Invitrogen™ PA552847
Description
Immunogen sequence: TWSVEKVIQV PPKKVKGWLL PEMPGLITDI LLSLDDRFLY FSNWLHGDLR QYDISDPQRP RLTGQLFLGG SIVKGGPVQV LEDEELKSQP EPLVVKGKRV AGGPQMIQLS LDGKRLYITT SLYSAWDKQF YPDLI Highest antigen sequence identity to the following orthologs: Mouse - 89%, Rat - 90%.
Selenium is an essential trace element that confers tolerance to toxicity arising through exposure to heavy metals or other reactive xenobiotics. Selenium exhibits potent anticarcinogenic properties, and deficiency of selenium may cause certain neurologic diseases. Both effects are attributed to selenium-binding proteins. Selenium binding protein 1 is down-regulated in lung adenocarcinoma, colorectal cander and ovarian cancer. It is two-fold upregulated in the brains of patients suffering from schizophrenia, and is therefore a biomarker for this disease.
Specifications
| SELENBP1 | |
| Polyclonal | |
| Unconjugated | |
| SELENBP1 | |
| 56 kDa selenium-binding protein; epididymis secretory sperm binding protein Li 134P; FLJ13813; HEL-S-134P; hSBP; hSP56; Lp 56; Lp56; LPSB; Methanethiol oxidase; methanethiol oxidase; selenium-binding protein 1; MTO; SBP; SBP 1; SBP1; SBP56; Selen bp2; SELENBP 1; Selenbp 2; selenbp1; Selenbp2; selenium binding protein 1; selenium binding protein 2; selenium-binding protein 1; Selenium-binding protein 2; SELNBP1; similar to selenium binding protein 1; SP 56; SP56; zgc:65844 | |
| Rabbit | |
| Antigen affinity chromatography | |
| RUO | |
| 8991 | |
| Store at 4°C short term. For long term storage, store at -20°C, avoiding freeze/thaw cycles. | |
| Liquid |
| Immunohistochemistry (Paraffin), Immunocytochemistry | |
| 0.05 mg/mL | |
| PBS with 40% glycerol and 0.02% sodium azide; pH 7.2 | |
| Q13228 | |
| SELENBP1 | |
| Recombinant protein corresponding to Human SELENBP1. Recombinant protein control fragment (Product #RP-88769). | |
| 100 μL | |
| Primary | |
| Human | |
| Antibody | |
| IgG |
Safety and Handling
WARNING: Cancer - www.P65Warnings.ca.gov
Product Content Correction
Your input is important to us. Please complete this form to provide feedback related to the content on this product.
Product Title
Spot an opportunity for improvement?Share a Content Correction