Promotional price valid on web orders only. Your contract pricing may differ. Interested in signing up for a dedicated account number?
Learn More
Learn More
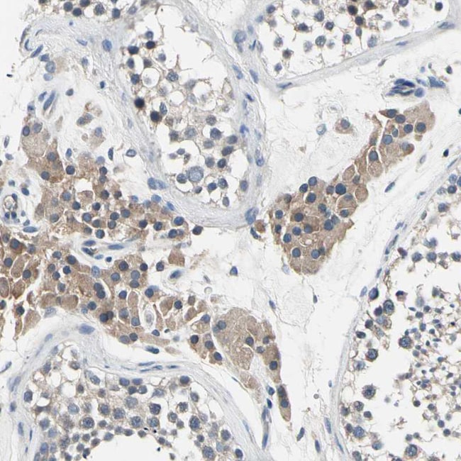
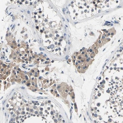
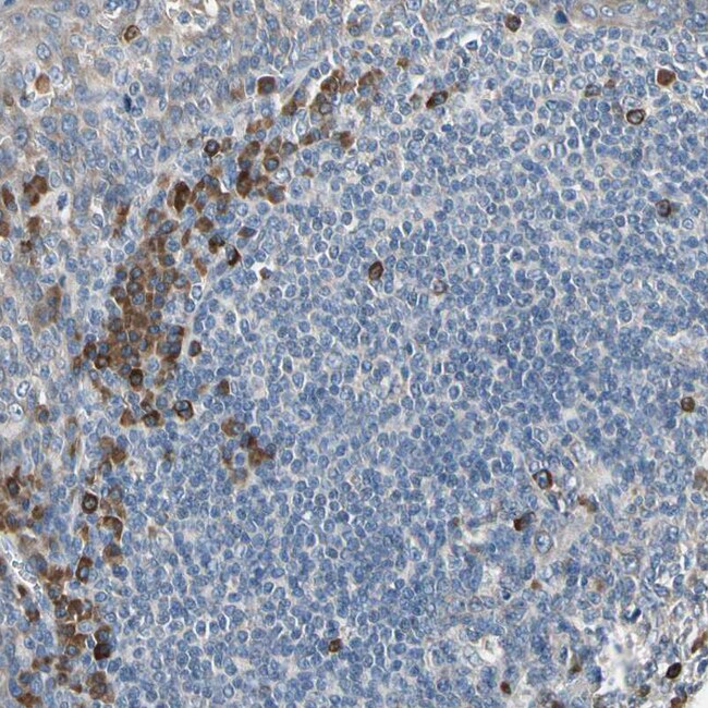
Invitrogen™ SELK Polyclonal Antibody

Rabbit Polyclonal Antibody
Supplier: Invitrogen™ PA552529
Description
Immunogen sequence: KRRSYGNSSD SRYDDGRGPP GNPPRRMGRI NHLRGPS Highest antigen sequence identity to the following orthologs: Mouse - 92%, Rat - 92%.
SELK is a selenoprotein, containing a selenocysteine residue at its active site. SELK is localized to the endoplasmic reticulum and is highly expressed in the heart, where it may function as an antioxidant. SELK can bind to proteins such as the ER-associated degradation (ERAD) components p97 ATPase, Derlin-1 and -2, and SelS as well as proteins in the oligosaccharyltransferase complex, suggesting that SELK may be involved in the Derlin-dependent ERAD of glycosylated misfolded proteins. SELK is also thought to be important in Ca2+ flux in immune cells, and is cleaved by m-calpain in resting macrophages. When these macrophages are activated through different Toll-like receptors, this cleavage is inhibited.
Specifications
| SELK | |
| Polyclonal | |
| Unconjugated | |
| SELENOK | |
| 1110001C03Rik; AA673253; heat shock protein; heat shock protein, 30 kDa; Hsp30; HSPC030; HSPC297; Selenok; Selenoprotein K; SELK | |
| Rabbit | |
| Antigen affinity chromatography | |
| RUO | |
| 58515 | |
| Store at 4°C short term. For long term storage, store at -20°C, avoiding freeze/thaw cycles. | |
| Liquid |
| Immunohistochemistry (Paraffin), Western Blot, Immunocytochemistry | |
| 0.1 mg/mL | |
| PBS with 40% glycerol and 0.02% sodium azide; pH 7.2 | |
| Q9Y6D0 | |
| SELENOK | |
| Recombinant protein corresponding to Human SELK. Recombinant protein control fragment (Product #RP-88720). | |
| 100 μL | |
| Primary | |
| Human | |
| Antibody | |
| IgG |
Product Content Correction
Your input is important to us. Please complete this form to provide feedback related to the content on this product.
Product Title
Spot an opportunity for improvement?Share a Content Correction