Learn More
Invitrogen™ SENP2 Monoclonal Antibody (OTI1H2)

Description
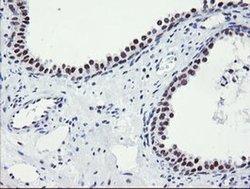
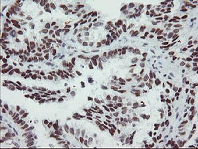
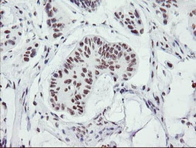
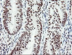
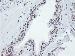
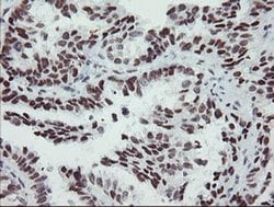
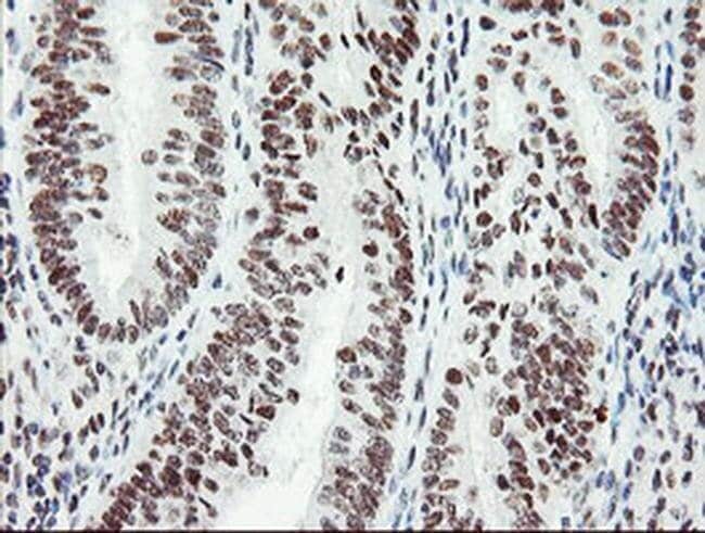
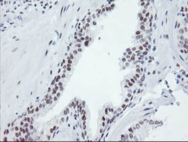
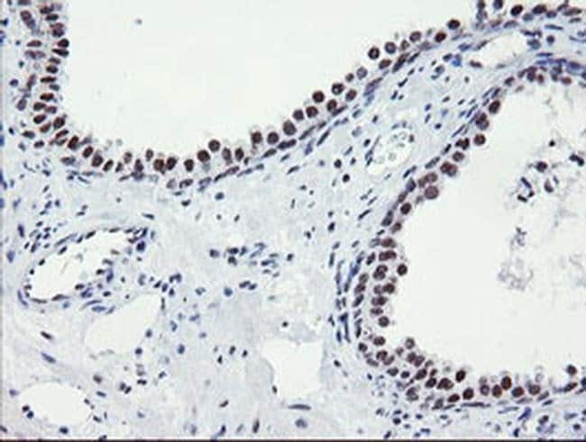
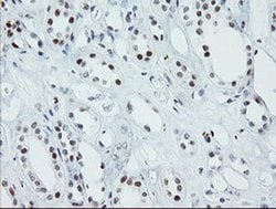
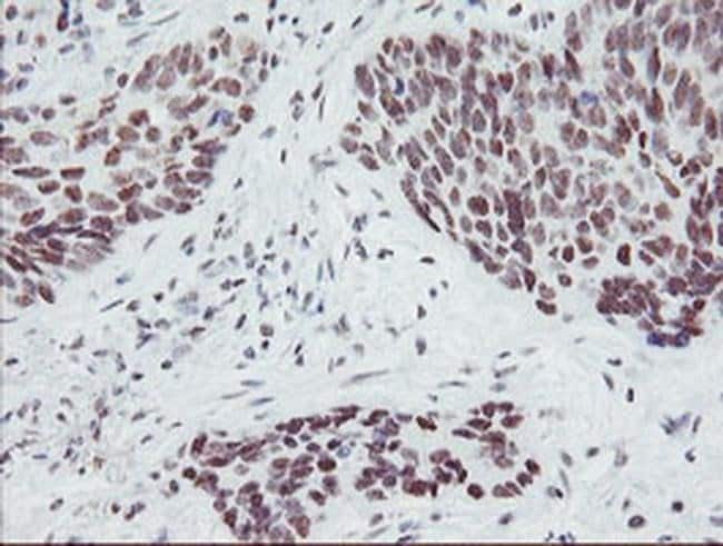
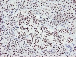
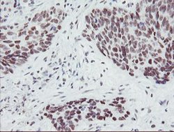
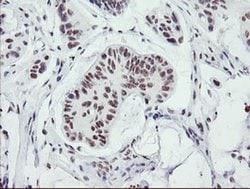
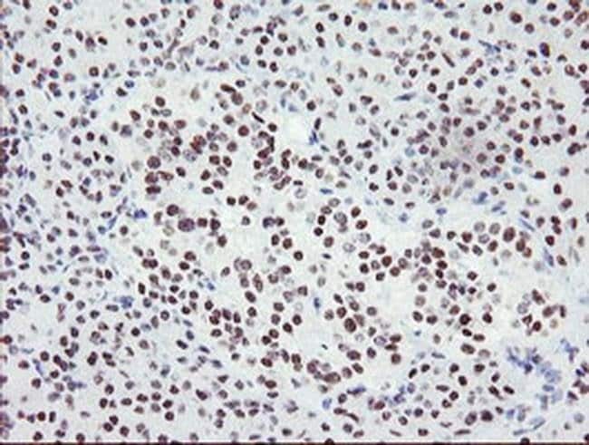
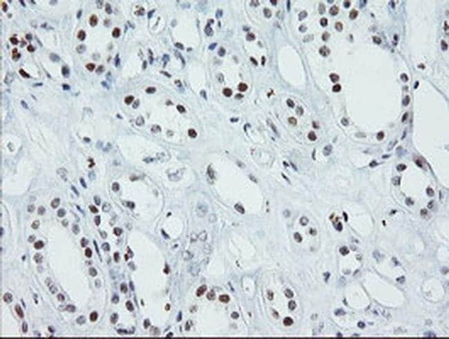
SENP2 Monoclonal Antibody for Western Blot, ICC/IF, IHC (P), Flow
Specifications
Specifications
| Antigen | SENP2 |
| Applications | Flow Cytometry, Immunohistochemistry (Paraffin), Western Blot, Immunocytochemistry |
| Classification | Monoclonal |
| Clone | OTI1H2 |
| Concentration | 1.0 mg/mL |
| Conjugate | Unconjugated |
| Formulation | PBS with 1% BSA, 50% glycerol and 0.02% sodium azide; pH 7.3 |
| Gene | SENP2 |
| Gene Accession No. | Q9HC62 |
| Gene Alias | 2310007L05Rik; 4930538C18Rik; AI646780; AW554757; Axam; Axam2; Axin-associating molecule; CT; EGK_11819; KIAA1331; mKIAA1331; Senp2; sentrin/SUMO-specific protease SENP2; Sentrin-specific protease 2; Smt3ip2; SMT3-specific isopeptidase 2; SUMO specific peptidase 2; SUMO/sentrin specific peptidase 2; SUMO/sentrin specific protease 2; SUMO-1 protease 1; SUMO-1 protease-1; SUMO1/sentrin/SMT3 specific peptidase 2; SUMO1/sentrin/SMT3 specific protease 2; SUMO-1/Smt3-specific isopeptidase 2; Supr1; SuPr-1 |
| Show More |
By clicking Submit, you acknowledge that you may be contacted by Fisher Scientific in regards to the feedback you have provided in this form. We will not share your information for any other purposes. All contact information provided shall also be maintained in accordance with our Privacy Policy.