Promotional price valid on web orders only. Your contract pricing may differ. Interested in signing up for a dedicated account number?
Learn More
Learn More
SEPT9 Rabbit anti-Human, Mouse, Rat, Polyclonal, Proteintech

Rabbit Polyclonal Antibody
Supplier: Proteintech Group Inc 107691AP150UL

Description
The maf oncogene was identified by structural analysis of the AS42 avian transforming retrovirus genome. The Maf family is divided into two subclasses, large Mafs (vMaf, cMaf, MafB and Nrl) and small Mafs (MafF, MafK, and MafG). Both subclasses contain leucinezipper motifs, which allow homodimerization as well as heterodimerization with a variety of other bZip transcription factors. Large Mafs also contain an acidic transactivation domain absent in the small Maf proteins. Although they do not possess inherent transactivation activity, small Maf proteins can act as positive regulators of transcription by targeting transcriptionally active dimerization partners to specific DNA regulatory elements. Conversely, small Mafs can act also as negative regulators of transcription by recruiting transcriptional repressors or by forming homodimers that can replace active dimers. Human MafF was isolated in a yeast one-hybrid system from a human myometrium cDNA library. Human MAFF encodes a 164 amino acids protein. Like other small MAFF proteins, it contains an extended leucine zipper structure and lacks an N-terminal transactivating domain. The three small Maf proteins have been implicated in a number of physiological processes, including development, differentiation, haematopoiesis and stress response. Interestingly, these three proteins regulate the stress response via different mechanisms.Specifications
SEPT9 | |
Polyclonal | |
Unconjugated | |
SEPT9 | |
AF17q25, KIAA0991, MLL septin like fusion protein, MSF, MSF1, NAPB, Ov/Br septin, Ovarian/Breast septin, PNUTL4, SEPT9, SeptD1, septin 9, Septin D1, SINT1 | |
Rabbit | |
Antigen Affinity Chromatography | |
RUO | |
10801, 53860, 83788 | |
-20°C | |
Liquid |
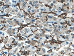
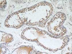
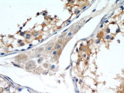
Flow Cytometry, Immunocytochemistry, Immunofluorescence, Immunohistochemistry (Paraffin), Immunoprecipitation | |
0.24 mg/mL | |
PBS with 50% glycerol and 0.1% sodium azide; pH 7.3 | |
Q80UG5, Q9QZR6, Q9UHD8 | |
SEPT9 | |
SEPT9 Fusion Protein Ag1218 | |
150 μL | |
Primary | |
Human, Mouse, Rat | |
Antibody | |
IgG |
Product Content Correction
The Fisher Scientific Encompass Program offers items which are not part of our distribution portfolio. These products typically do not have pictures or detailed descriptions. However, we are committed to improving your shopping experience. Please use the form below to provide feedback related to the content on this product.
Product Title
Spot an opportunity for improvement?Share a Content Correction