Promotional price valid on web orders only. Your contract pricing may differ. Interested in signing up for a dedicated account number?
Learn More
Learn More
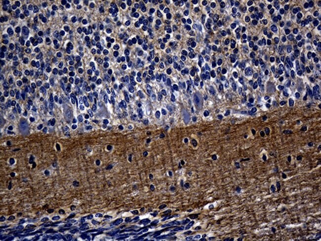
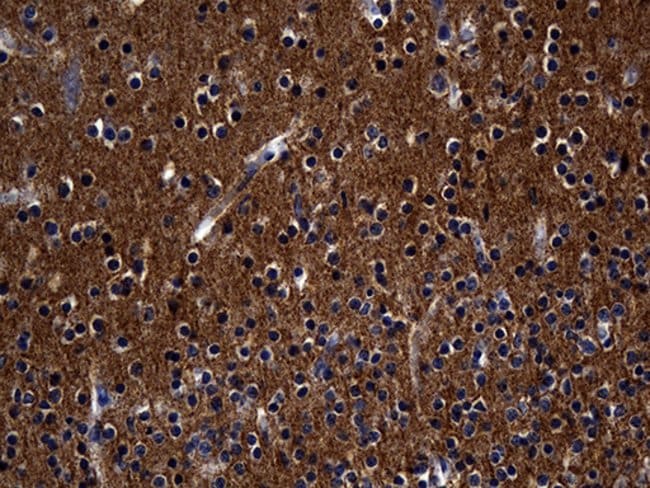
Septin 3 Monoclonal Antibody (OTI2G3), TrueMAB™, OriGene

Mouse Monoclonal Antibody
Supplier: OriGene TA811272

Description
This gene belongs to the septin family of GTPases. Members of this family are required for cytokinesis. Expression is upregulated by retinoic acid in a human teratocarcinoma cell line. The specific function of this gene has not been determined. Alternative splicing of this gene results in two transcript variants encoding different isoforms.Specifications
Septin 3 | |
Monoclonal | |
1 mg/mL | |
PBS with 1% BSA, 50% glycerol and 0.02% sodium azide | |
Q9UH03, Q9Z1S5 | |
SEPT3 | |
Full length human recombit protein of human SEPT3 produced in HEK293T cell. | |
100 μL | |
Primary | |
Human, Mouse | |
Antibody | |
IgG1 |
Immunohistochemistry (Paraffin), Western Blot | |
OTI2G3 | |
Unconjugated | |
SEPT3 | |
SEP3, bK250D10.3 | |
Mouse | |
Affinity Chromatography | |
RUO | |
24050, 55964 | |
-20° C, Avoid Freeze/Thaw Cycles | |
Liquid |
Product Content Correction
The Fisher Scientific Encompass Program offers items which are not part of our distribution portfolio. These products typically do not have pictures or detailed descriptions. However, we are committed to improving your shopping experience. Please use the form below to provide feedback related to the content on this product.
Product Title
Spot an opportunity for improvement?Share a Content Correction