Promotional price valid on web orders only. Your contract pricing may differ. Interested in signing up for a dedicated account number?
Learn More
Learn More
Invitrogen™ SERPINA7 Polyclonal Antibody
Rabbit Polyclonal Antibody
Supplier: Invitrogen™ PA5121619
This item is not returnable.
View return policy
Description
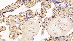
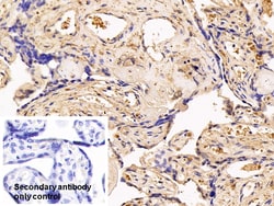
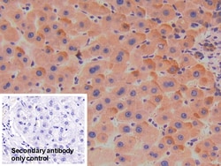
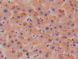
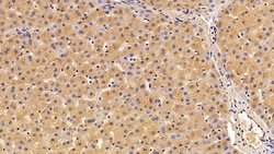
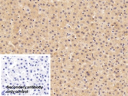
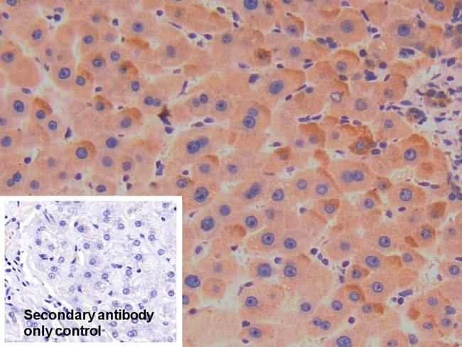
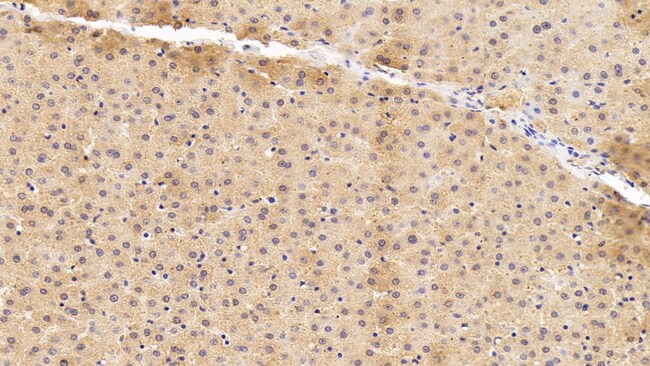
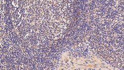
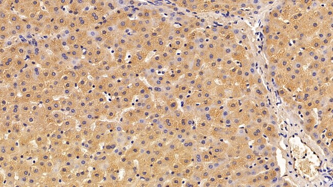
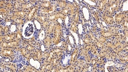
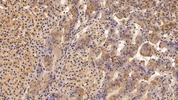
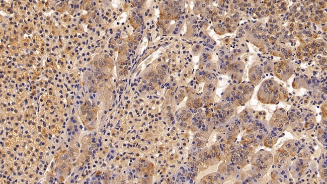
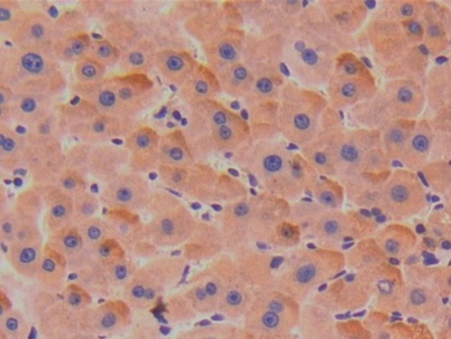
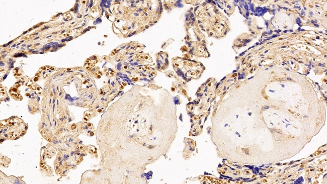
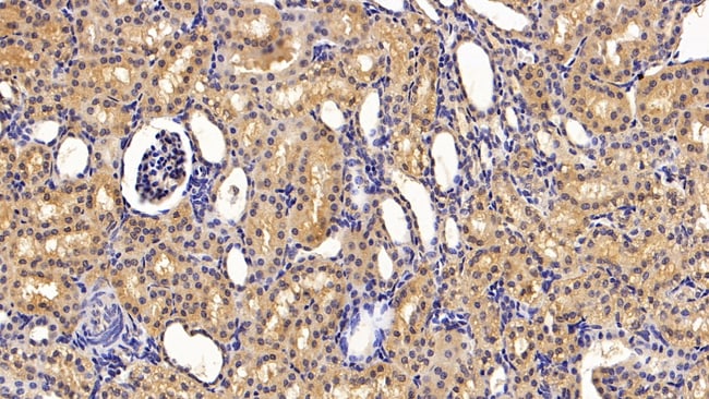
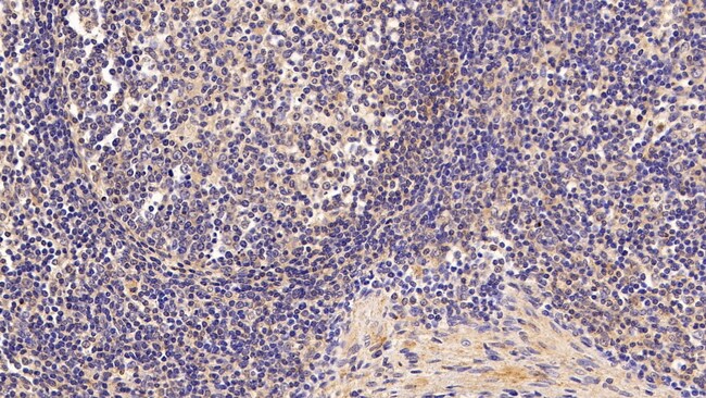
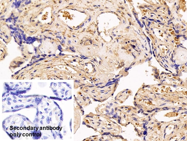
SERPINA7 Polyclonal Antibody for Western Blot, ICC/IF, IHC (P)
There are three proteins including thyroxine-binding globulin (TBG), transthyretin and albumin responsible for carrying the thyroid hormones thyroxine (T4) and 3,5,3'-triiodothyronine (T3) in the bloodstream. This gene encodes the major thyroid hormone transport protein, TBG, in serum. It belongs to the serpin family in genomics, but the protein has no inhibitory function like many other members of the serpin family. Mutations in this gene result in TGB deficiency, which has been classified as partial deficiency, complete deficiency, and excess, based on the level of serum TBG. Alternatively spliced transcript variants encoding different isoforms have been found, but the full-length nature of these variants has not been determined.
Specifications
SERPINA7 | |
Polyclonal | |
Unconjugated | |
Serpina7 | |
C730040N12Rik; RP1-82J11.2; serine (or cysteine) peptidase inhibitor, clade A (alpha-1 antipeptidase, antitrypsin), member 7; serine (or cysteine) peptidase inhibitor, clade A (alpha-1 antiproteinase, antitrypsin), member 7; serine (or cysteine) proteinase inhibitor clade A (alpha-1 antiproteinase antitrypsin) member 7; serine (or cysteine) proteinase inhibitor, clade A (alpha-1 antiproteinase, antitrypsin), member 7; serpin A7; serpin family A member 7; serpin peptidase inhibitor, clade A (alpha-1 antiproteinase, antitrypsin), member 7; Serpina7; T4-binding globulin; TBG; thyroxin-binding globulin; thyroxine binding globulin; thyroxine-binding globulin | |
Rabbit | |
Antigen affinity chromatography, Protein A | |
RUO | |
6906 | |
Store at 4°C short term. For long term storage, store at -20°C, avoiding freeze/thaw cycles. | |
Liquid |
Immunohistochemistry (Paraffin), Western Blot, Immunocytochemistry | |
0.5 mg/mL | |
PBS with 50% glycerol and 0.05% ProClin 300; pH 7.4 | |
P05543 | |
Serpina7 | |
Recombinant protein Thyroxine Binding Globulin. The antigen corresponds to amino acid range 128-415 of the target protein. | |
20 μL | |
Primary | |
Human | |
Antibody | |
IgG |
Product Content Correction
Your input is important to us. Please complete this form to provide feedback related to the content on this product.
Product Title
Spot an opportunity for improvement?Share a Content Correction