Promotional price valid on web orders only. Your contract pricing may differ. Interested in signing up for a dedicated account number?
Learn More
Learn More
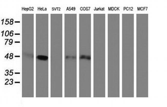
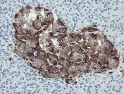
SERPINE2 Monoclonal Antibody (OTI6F3), TrueMAB™, OriGene

Mouse Monoclonal Antibody
Supplier: OriGene TA504718

Description
SERPINE2 encodes a member of the serpin family of proteins, a group of proteins that inhibit serine proteases. Thrombin, urokinase, plasmin and trypsin are among the proteases that this family member can inhibit. This gene is a susceptibility gene for chronic obstructive pulmonary disease and for emphysema. Alternative splicing results in multiple transcript variants.Specifications
SERPINE2 | |
Monoclonal | |
1.09 mg/mL | |
PBS with 1% BSA, 50% glycerol and 0.02% sodium azide | |
P07093 | |
SERPINE2 | |
Full length human recombit protein of human SERPINE2 produced in HEK293T cell. | |
100 μL | |
Primary | |
Human | |
Antibody | |
IgG1 |
Flow Cytometry, Immunohistochemistry (Paraffin), Western Blot | |
OTI6F3 | |
Unconjugated | |
SERPINE2 | |
GDN, GDNPF, PI-7, PI7, PN-1, PN1, PNI | |
Mouse | |
Affinity Chromatography | |
RUO | |
5270 | |
-20° C, Avoid Freeze/Thaw Cycles | |
Liquid |
Product Content Correction
The Fisher Scientific Encompass Program offers items which are not part of our distribution portfolio. These products typically do not have pictures or detailed descriptions. However, we are committed to improving your shopping experience. Please use the form below to provide feedback related to the content on this product.
Product Title
Spot an opportunity for improvement?Share a Content Correction