Learn More
Invitrogen™ SET Polyclonal Antibody

Rabbit Polyclonal Antibody
Supplier: Invitrogen™ PA596532
Description
Immunogen sequence: MSAPAAKVSK KELNSNHDGA DETSEKEQQE AIEHIDEVQN EIDRLNEQAS EEILKVEQKY NKLRQPFFQK RSELIAKIPN FWVTTFVNHP QVSALLGEED EEALHYLTRV EVTEFEDIKS GYRIDFYFDE NPYFENKVLS KEFHLNESGD PSSKSTEIKW KSGKDLTKRS SQTQNKASRK RQHEEPESFF TWFTDHSDAG ADELGEVIKD DIWPNPLQYY LVPDMDDEEG EGEEDDDDDE EEEGLEDIDE EGDEDEGEED EDDDEGEEGE EDEGEDD; Positive Samples: 293T, MCF7, HeLa; Cellular Location: Cytoplasm, Endoplasmic reticulum, Nucleus, cytosol, nucleoplasm.
SET is a multitasking protein, involved in apoptosis, transcription, nucleosome assembly and histone binding. Isoform 2 anti-apoptotic activity is mediated by inhibition of the GZMA-activated DNase, NME1.
Specifications
SET | |
Polyclonal | |
Unconjugated | |
SET | |
2610030F17Rik; 2PP2A; 5730420M11Rik; AA407739; Ab1-115; HLA-DR-associated protein II; hypothetical protein LOC538444; I IGAAD; I2PP2A; I-2PP2A; IGAAD; inhibitor of granzyme A-activated DNase; inhibitor-2 of protein phosphatase-2A; IPP2A2; Liver regeneration-related protein LRRGR00002; OTTHUMP00000022286; PHAPII; Phosphatase 2A inhibitor I2PP2A; protein phosphatase 2A inhibitor 2; protein phosphatase type 2A inhibitor; protein SET; RP11-216B9.3; Set; SET nuclear oncogene; SET nuclear proto-oncogene; SET translocation; SET translocation (myeloid leukemia-associated); SET-like protein; StF-IT-1; TAF-1a; TAF-1b; TAF-I; TAF-IBETA; Template-activating factor I; Template-Activating Factor-I, chromatin remodelling factor | |
Rabbit | |
Affinity chromatography | |
RUO | |
307947, 56086, 6418 | |
-20°C, Avoid Freeze/Thaw Cycles | |
Liquid |
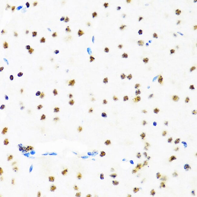
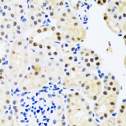
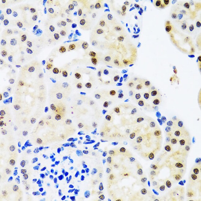
ELISA, Immunohistochemistry (Paraffin), Western Blot, Immunocytochemistry | |
0.4 mg/mL | |
PBS with 50% glycerol and 0.02% sodium azide; pH 7.3 | |
Q01105, Q63945, Q9EQU5 | |
SET | |
Recombinant fusion protein containing a sequence corresponding to amino acids 1-277 of human SET/TAF1 (NP_0030022). | |
100 μL | |
Primary | |
Human, Mouse, Rat | |
Antibody | |
IgG |
Your input is important to us. Please complete this form to provide feedback related to the content on this product.