Promotional price valid on web orders only. Your contract pricing may differ. Interested in signing up for a dedicated account number?
Learn More

SET7 Rabbit anti-Human, Mouse, Polyclonal, Bethyl Laboratories

Rabbit Polyclonal Antibody

Supplier:  Bethyl Laboratories, Inc A301747A

Encompass_Preferred

Catalog No. 50-155-9602


May include imposed supplier surcharges.
Only null left
Add to Cart

Description

Description

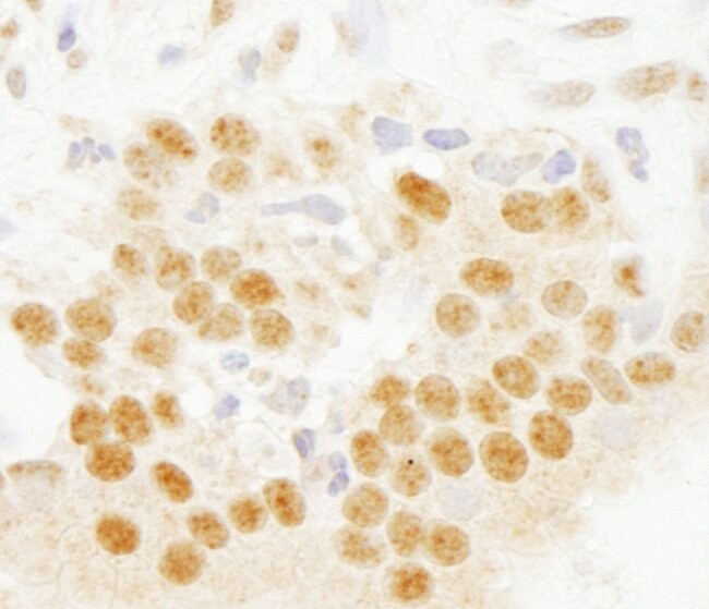
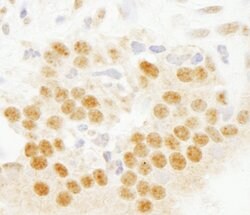
The recommended shelf life for this product is 1 year from date of receipt. Application Note: For IHC, epitope retrieval with citrate buffer pH 6.0 is recommended for FFPE tissue sections.

Histone methyltransferase that specifically monomethylates ′Lys-4′ of histone H3. H3 ′Lys-4′ methylation represents a specific tag for epigenetic transcriptional activation. Plays a central role in the transcriptional activation of genes such as collagenase or insulin. Recruited by IPF1/PDX-1 to the insulin promoter, leading to activate transcription. Has also methyltransferase activity toward non-histone proteins such as p53/TP53, TAF10, and possibly TAF7 by recognizing and binding the [KR]-[STA]-K in substrate proteins. Monomethylates ′Lys-189′ of TAF10, leading to increase the affinity of TAF10 for RNA polymerase II. Monomethylates ′Lys-372′ of p53/TP53, stabilizing p53/TP53 and increasing p53/TP53-mediated transcriptional activation. Also able to demethylated ′Lys-372′ of p53/TP53 in vitro.
Specifications

Specifications

SET7
Polyclonal
Unconjugated
SETD7
Set7/9
Rabbit
Antigen affinity chromatography
RUO
73251, 80854
4° C
Liquid
Immunohistochemistry, Immunoprecipitation, Western Blot
0.2 mg/ml
TBS with 0.1% BSA and 0.09% sodium azide
Q8VHL1, Q8WTS6
SETD7
Between 316 and 366
100 μL
Primary
Human, Mouse
Antibody
IgG
Product Suggestions

Product Suggestions

Videos
SDS
Documents

Documents

Product Certifications
Promotions

Promotions

Product Content Correction

The Fisher Scientific Encompass Program offers items which are not part of our distribution portfolio. These products typically do not have pictures or detailed descriptions. However, we are committed to improving your shopping experience. Please use the form below to provide feedback related to the content on this product.

Product Title

By clicking Submit, you acknowledge that you may be contacted by Fisher Scientific in regards to the feedback you have provided in this form. We will not share your information for any other purposes. All contact information provided shall also be maintained in accordance with our Privacy Policy.

Your feedback has been submitted: Thank you for helping us improve our website.