Promotional price valid on web orders only. Your contract pricing may differ. Interested in signing up for a dedicated account number?
Learn More
Learn More
Invitrogen™ SFTPA1 Polyclonal Antibody

Rabbit Polyclonal Antibody
Supplier: Invitrogen™ PA5111159
Description
Immunogen sequence: PGLPAHLDEE LQATLHDFRH QILQTRGALS LQGSIMTVGE KVFSSNGQSI TFDAIQEACA RA.
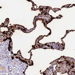
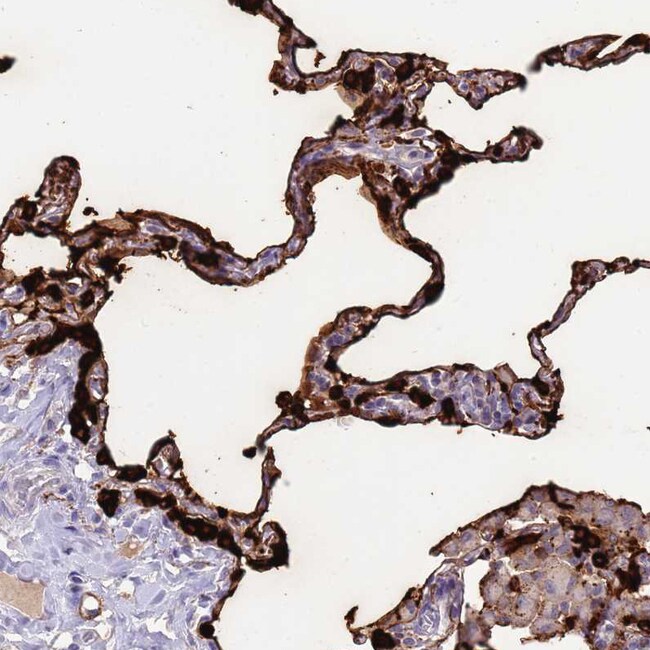
Surfactant protein A is an innate immune system collectin. The gene encoding SP-A map to mouse chromosome 14. Surfactant protein-A, which plays a role in innate host defense in the lung, is also expressed in the Eustachian tube. We report that the frequency of specific surfactant protein-A haplotypes and genotypes differs between children with recurrent otitis media compared with a control population.
Specifications
| SFTPA1 | |
| Polyclonal | |
| PBS with 40% glycerol and 0.02% sodium azide; pH 7.2 | |
| Q8IWL2 | |
| SFTPA1 | |
| Recombinant Protein corresonding to Human SFTPA1. Recombinant protein control fragment (Product #RP-104345). | |
| 100 μL | |
| Primary | |
| Human | |
| Antibody | |
| IgG |
| Immunohistochemistry (Paraffin), Western Blot | |
| Unconjugated | |
| SFTPA1 | |
| 35 kDa pulmonary surfactant-associated protein; alveolar proteinosis protein; COLEC4; Collectin 4; Collectin-4; FLJ50593; FLJ51913; FLJ61144; FLJ77898; FLJ79095; FLJ99559; MGC133365; MGC198590; OTTHUMP00000019928; OTTHUMP00000019929; OTTHUMP00000019930; OTTHUMP00000019931; PSAP; PSP A; PSPA; PSP-A; pulmonary surfactant-associated protein A; Pulmonary surfactant-associated protein A1; SFTP1; Sftp-1; Sftpa; SFTPA1; SFTPA1B; Sftpl; SP A; SP A1; SPA; SP-A; SPA1; SP-A1; SP-A1 beta; SP-A1 delta; SP-A1 epsilon; SP-A1 gamma; Surfactant; surfactant associated protein A; surfactant associated protein A1; surfactant protein A1; surfactant protein A1 variant AB'D' 6A; surfactant protein A1 variant AB'D' 6A2; surfactant protein A1 variant AB'D' 6A3; surfactant protein A1 variant AB'D' 6A4; surfactant protein A1 variant ACD' 6A; surfactant protein A1 variant ACD' 6A2; surfactant protein A1 variant ACD' 6A3; surfactant protein A1 variant ACD' 6A4; surfactant protein A1 variant AD' 6A; surfactant protein A1 variant AD' 6A2; surfactant protein A1 variant AD' 6A3; surfactant protein A1 variant AD' 6A4; surfactant protein A1B; surfactant pulmonary associated protein A1; surfactant, pulmonary-associated protein A1; surfactant, pulmonary-associated protein A1A; surfactant, pulmonary-associated protein A1B; Surfactant-associated protein 1 (pulmonary surfactant protein SP-A); Surfactant-associated protein 1 (pulmonary surfactant protein, SP-A) | |
| Rabbit | |
| Antigen Affinity Chromatography | |
| RUO | |
| 653509 | |
| Store at 4°C short term. For long term storage, store at -20°C, avoiding freeze/thaw cycles. | |
| Liquid |
Product Content Correction
Your input is important to us. Please complete this form to provide feedback related to the content on this product.
Product Title
Spot an opportunity for improvement?Share a Content Correction