Promotional price valid on web orders only. Your contract pricing may differ. Interested in signing up for a dedicated account number?
Learn More
Learn More
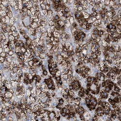
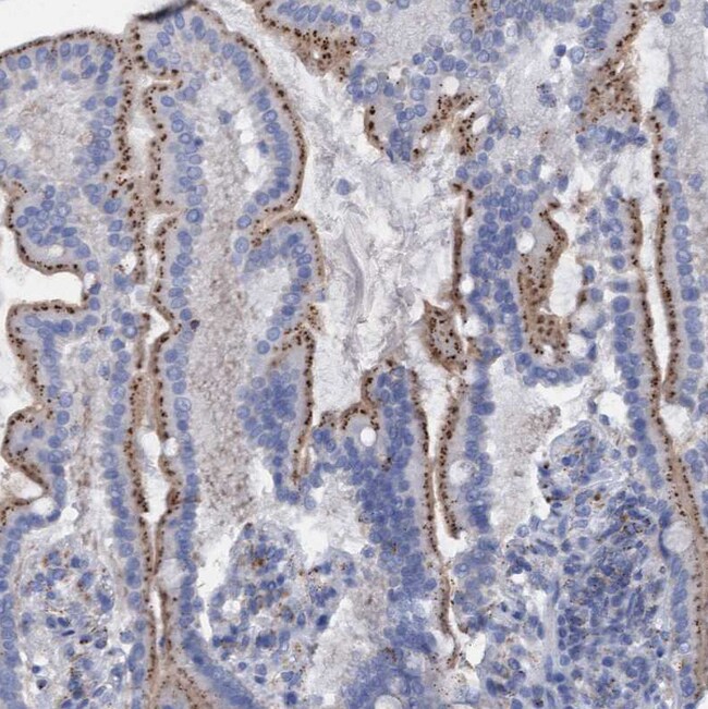
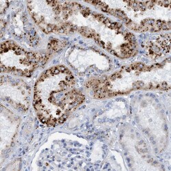
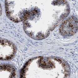
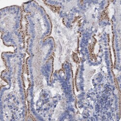
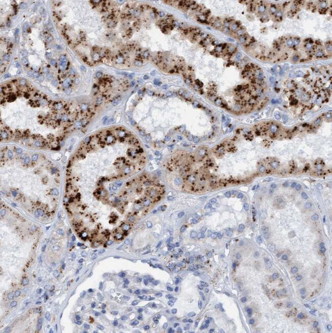
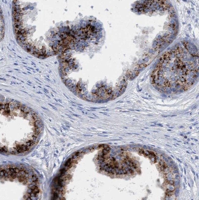
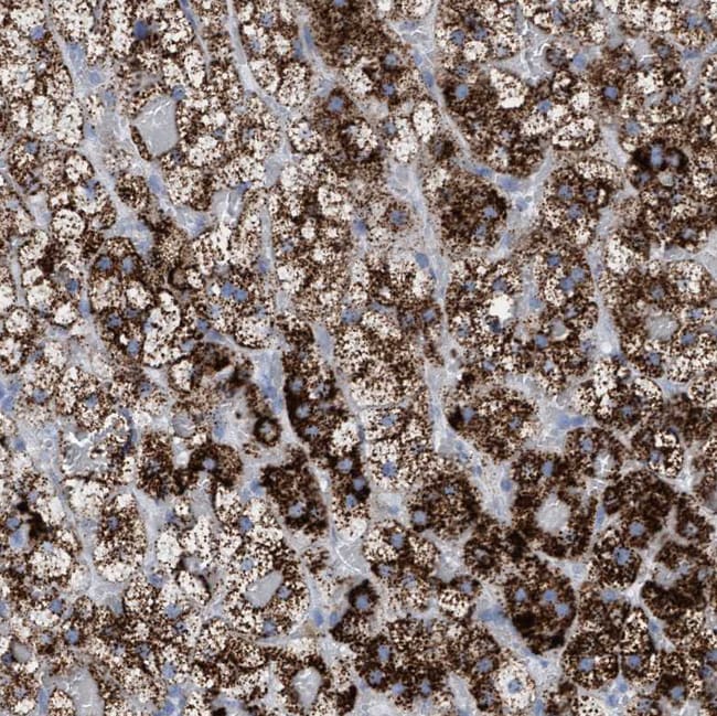
Invitrogen™ SGSH Polyclonal Antibody

Rabbit Polyclonal Antibody
Supplier: Invitrogen™ PA582831
Description
Immunogen sequence: CEKFGNGESG MGRIPDWTPQ AYDPLDVLVP YFVPNTPAAR ADLAAQYTTV GRMDQGVGLV LQELRDAGVL NDTLVIFTSD NGIPFPSGRT NLYWPGTAEP L.
SGSH is one of several enzymes involved in the lysosomal degradation of heparan sulfate. Mutations in this gene are associated with Sanfilippo syndrome A, one type of the lysosomal storage disease mucopolysaccaridosis III, which results from impaired degradation of heparan sulfate. Transcripts of varying sizes have been reported but their biological validity has not been determined.
Specifications
SGSH | |
Polyclonal | |
Unconjugated | |
SGSH | |
4632406A19Rik; heparan sulfate sulfamidase; heparan sulfate sulfatase; HSS; MPS3A; mucopolysaccharidosis type IIIA; N-sulfoglucosamine sulfohydrolase; N-sulfoglucosamine sulfohydrolase (sulfamidase); N-sulphoglucosamine sulphohydrolase; SFMD; SGSH; Sulfoglucosamine sulfamidase; sulphamidase | |
Rabbit | |
Antigen affinity chromatography | |
RUO | |
6448 | |
Store at 4°C short term. For long term storage, store at -20°C, avoiding freeze/thaw cycles. | |
Liquid |
Immunohistochemistry (Paraffin) | |
0.2 mg/mL | |
PBS with 40% glycerol and 0.02% sodium azide; pH 7.2 | |
P51688 | |
SGSH | |
Recombinant protein corresponding to Human SGSH. Recombinant protein control fragment (Product #RP-93497). | |
100 μL | |
Primary | |
Human | |
Antibody | |
IgG |
Safety and Handling
WARNING: Cancer - www.P65Warnings.ca.gov
Product Content Correction
Your input is important to us. Please complete this form to provide feedback related to the content on this product.
Product Title
Spot an opportunity for improvement?Share a Content Correction