Promotional price valid on web orders only. Your contract pricing may differ. Interested in signing up for a dedicated account number?
Learn More
Learn More
SHARPIN Rabbit anti-Human, Polyclonal, Bioss

Rabbit Polyclonal Antibody
Supplier: Bioss BS9581R

Description
Component of the LUBAC complex which conjugates linear polyubiquitin chains in a head-to-tail manner to substrates and plays a key role in NF-kappa-B activation and regulation of inflammation. LUBAC conjugates linear polyubiquitin to IKBKG and RIPK1 and is involved in activation of the canonical NF-kappa-B and the JNK signaling pathways. Linear ubiquitination mediated by the LUBAC complex interferes with TNF-induced cell death and thereby prevents inflammation. LUBAC is proposed to be recruited to the TNF-R1 signaling complex (TNF-RSC) following polyubiquitination of TNF-RSC components by BIRC2 and/or BIRC3 and to conjugate linear polyubiquitin to IKBKG and possibly other components contributing to the stability of the complex. Together with FAM105B/otulin, the LUBAC complex regulates the canonical Wnt signaling during angiogenesis.Specifications
SHARPIN | |
Polyclonal | |
Unconjugated | |
SHARPIN | |
0610041B22Rik; AW121341; BOS_13657; Conneck1; Cpdm; hSIPL1; mSIPL1; protein kinase C-interacting protein RBCC like 1; PSEC0216; RBCKL1; SHANK associated RH domain interactor; SHANK-associated RH domain interacting protein; SHANK-associated RH domain interactor; Shank-associated RH domain-interacting protein; shank-interacting protein; Shank-interacting protein-like 1; Sharpin; SIPL1 | |
Rabbit | |
Protein A | |
RUO | |
81858 | |
-20°C | |
Liquid |
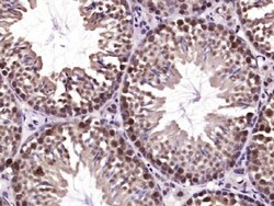
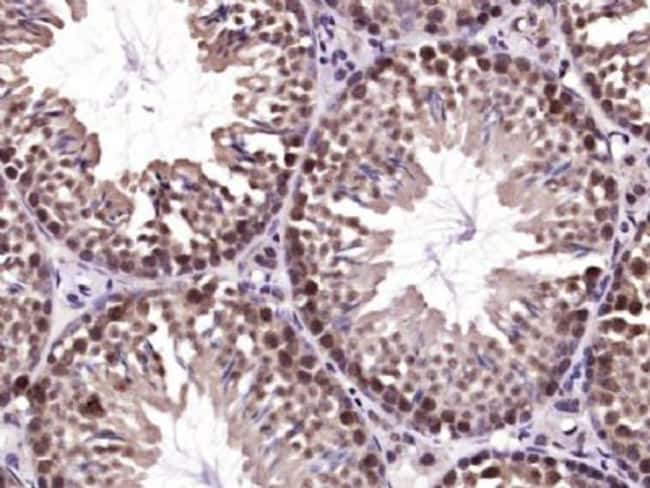
Immunofluorescence, Immunohistochemistry (Paraffin), Western Blot | |
1 μg/mL | |
PBS with 1% BSA, 50% glycerol and 0.09% sodium azide; pH | |
Q9H0F6 | |
SHARPIN | |
KLH conjugated synthetic peptide derived from human SHARPIN. | |
100 μL | |
Primary | |
Human | |
Antibody | |
IgG |
Product Content Correction
The Fisher Scientific Encompass Program offers items which are not part of our distribution portfolio. These products typically do not have pictures or detailed descriptions. However, we are committed to improving your shopping experience. Please use the form below to provide feedback related to the content on this product.
Product Title
Spot an opportunity for improvement?Share a Content Correction