Promotional price valid on web orders only. Your contract pricing may differ. Interested in signing up for a dedicated account number?
Learn More
Learn More
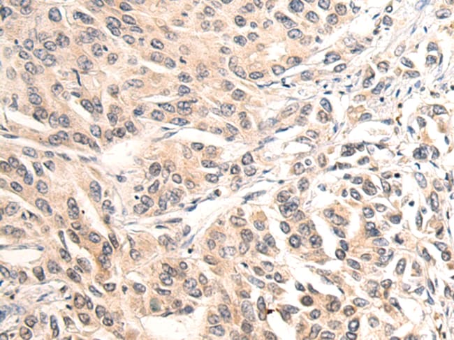
Invitrogen™ SIGLEC15 Polyclonal Antibody

Rabbit Polyclonal Antibody
Supplier: Invitrogen™ PA550759
Description
The antibody detects endogenous levels of total SIGLEC15 protein.
Binds sialylated glycoproteins.
Specifications
| SIGLEC15 | |
| Polyclonal | |
| Unconjugated | |
| SIGLEC15 | |
| CD33 antigen-like 3; CD33 molecule-like 3; Cd33l3; EG620235; HsT1361; RGD1565948; sialic acid binding Ig like lectin 15; sialic acid binding Ig-like lectin 15; sialic acid-binding Ig-like lectin 15; Siglec; Siglec 15; SIGLEC15; Siglec-15; SIGLEC-I | |
| Rabbit | |
| Antigen affinity chromatography | |
| RUO | |
| 284266, 620235 | |
| -20°C | |
| Liquid |
| Immunohistochemistry (Paraffin), Western Blot, Immunocytochemistry | |
| 0.9 mg/mL | |
| PBS with 40% glycerol and 0.05% sodium azide; pH 7.4 | |
| Q6ZMC9 | |
| SIGLEC15 | |
| Synthetic peptide corresponding to a region derived from internal residues of human sialic acid binding Ig-like lectin 15. | |
| 100 μL | |
| Primary | |
| Human, Mouse | |
| Antibody | |
| IgG |
Safety and Handling
WARNING: Cancer - www.P65Warnings.ca.gov
Product Content Correction
Your input is important to us. Please complete this form to provide feedback related to the content on this product.
Product Title
Spot an opportunity for improvement?Share a Content Correction